17번
[MD21]
0
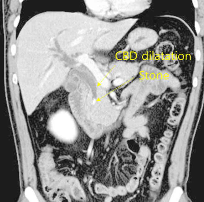
59세 여자가 2일 전부터 윗배가 아프고 열이 난다며 병원에 왔다. 구토를 하며 소변색이 진하다고 한다. 혈압 90/50 mmHg, 맥박 102회/분, 호흡 20회/분, 체온 38.9℃이다. 공막에 황달이 있다. 오른쪽 윗배에 압통이 있다. 혈액검사 결과는 다음과 같다. 복부 컴퓨터단층촬영 사진이다. 치료는?
백혈구 16,500/mm3, 혈색소 12g/dL, 혈소판 90,000/mm3, 총빌리루빈 6.5 mg/dL, 직접빌리루빈 4.7 mg/dL, 아스파르테이트아미노전달효소 331U/L, 알라닌아미노전달효소 190U/L, 아밀라아제 240U/L, 리파제 160U/L

정답률 85%
누적 풀이 횟수 1,200+
평균 풀이 시간42초
/
나의 풀이 시간0초
CC | F/59, 윗배 통증, 발열(2d) |
Hx | |
S/Sx | 구토, 진한 소변, 공막 황달, 우상복부 압통, BP ↓(90/50), 발열(38.9℃) |
Lab | WBC↑, Plt↓, T.bil/D.bil↑, AST/ALT↑, amylase↑, lipase↑ |
Img | CT: 담관 확장, 담관내 담석 |
Etc |
Imp: 급성 담관염
해설
윗배 통증과 발열을 주소로 내원한 환자로, 황달, RUQ tenderness 등으로부터 급성 담관염을 의심할 수 있다. 혈액검사에서도 담즙 정체 소견이 확인되고 있으며, 결정적으로 CT 상에서 담관 내에 하얗게 담석이 관찰되고 이로 인한 담관 확장이 있다. 혈압이 저하된 상태로, ERCP를 시행하여 stone removal 및 내시경코쓸개길배액술(ENBD)로 bile을 제거해주어야 하겠다.
Tip
급성 담관염 정리 | |
원인 | • 총담관담석(m/c), 종양, 총담관낭 등 |
임상양상 | • RUQ~상복부 통증, 발열, 황달 |
검사소견 | • WBC/CRP↑, bilirubin/ALP/GGT↑ |
진단 | • US/CT: Bile duct dilatation, stone이 보일 수도 있음 • MRCP/ERCP: Proximal bile duct dilatation, filling defect 등 |
치료 | • 담도 감압술 - ERCP(ERBD, ENBD) - 1st line (담석의 경우 + EST + stone removal) - PTC(PTBD) • 원인 치료: 총담관담석의 경우 담낭절제술, 종양의 경우 암 치료 등 • 항생제 및 기타 보존적 치료 |
오답 선지
• 피부간경유쓸개배액술(PTGBD)은 담낭의 담즙을 배액하기 위한 치료이며, 담관염의 치료로는 적합하지 않다. 내시경적 배액이 실패하거나 불가능한 경우 피부간경유쓸개관배액술(PTBD)를 시행할 수 있다.
관련 이론
• 총담관담석증과 담관염
Reference
• Harrison 21e, pp.2649-2650