18번
[MD21]
0
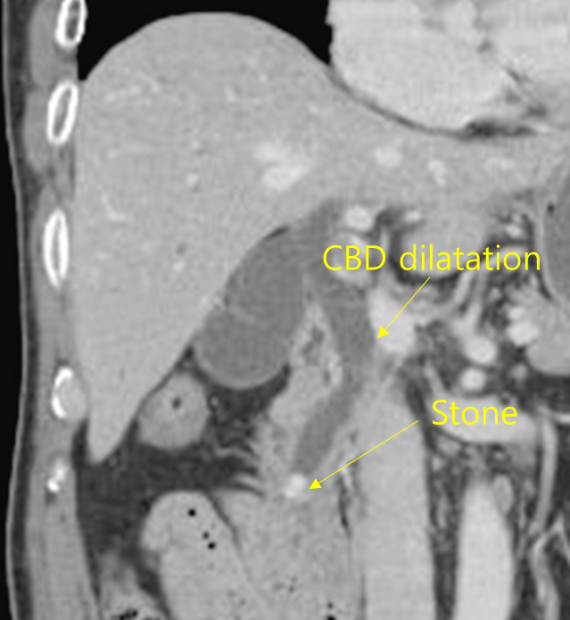
65세 여자가 2일 전부터 갑자기 오른쪽 윗배가 아파서 병원에 왔다. 통증은 식후에 심하다고 한다. 혈압 140/90 mmHg, 맥박 110회/분, 호흡 18회/분, 체온 38.7℃이다. 급성 병색을 보이고 공막에 황달이 있다. 오른쪽 윗배에 압통이 있고 반동압통은 없다. 혈액검사 결과는 다음과 같다. 복부 컴퓨터단층 촬영 사진이다. 적합한 치료를 고르시오 (한 가지).
백혈구 12,000/mm3, 혈색소 12.7g/dL, 혈소판 198,000/mm3, 총빌리루빈 5.2mg/dL, 아스파르테이트아미노전달효소 145U/L, 알라닌아미노전달효소 130U/L, 알칼리인산분해효소 280U/L, 감마글루타밀전달효소 135U/L, 아밀라아제 270 U/L, 리파제 320U/L

정답률 76%
누적 풀이 횟수 1,000+
평균 풀이 시간42초
/
나의 풀이 시간0초
CC | F/65, 우상복부 통증(2d) |
Hx | 식후 통증 심해짐 |
S/Sx | 급성 병색, 공막 황달, RUQ DT/RT(+/-), 발열(38.7℃) |
Lab | WBC↑, T.bil↑, AST/ALT↑, ALP↑, GGT↑, amylase↑, lipase↑ |
Img | CT: 담관내 결석, 담관 확장 |
Etc |
Imp: 급성 담관염
해설
식후에 심해지는 우상복부 통증을 주소로 내원한 환자로, 발열, 황달이 동반되어 있어 급성 담관염이 의심된다. 혈액검사에서도 총빌리루빈, ALP/GGT 상승 등 담즙정체 소견이 확인되며, 결정적으로 CT에서 담관 내에 하얀 결석과 이로 인한 담관 확장이 관찰되므로 급성 담관염으로 진단할 수 있다. Ampula of vater 부근에서 폐쇄가 발생하여 amylase, lipase도 상승한 것으로 보인다. 담석에 의한 급성 담관염은 ERCP를 통한 오디조임근절개술(sphincterotomy, EST)을 시행하여 stone removal을 하여야 한다.
Tip
급성 담관염 정리 | |
원인 | • 총담관담석(m/c), 종양, 총담관낭 등 |
임상양상 | • RUQ~상복부 통증, 발열, 황달 |
검사소견 | • WBC/CRP↑, bilirubin/ALP/GGT↑ |
진단 | • US/CT: Bile duct dilatation, stone이 보일 수도 있음 • MRCP/ERCP: Proximal bile duct dilatation, filling defect 등 |
치료 | • 담도 감압술 - ERCP(ERBD, ENBD) - 1st line (담석의 경우 + EST + stone removal) - PTC(PTBD) • 원인 치료: 총담관담석의 경우 담낭절제술, 종양의 경우 암 치료 등 • 항생제 및 기타 보존적 치료 |
관련 이론
• 총담관담석증과 담관염
Reference
• Harrison 21e, pp.2649-2650