8번
[MD23]
0
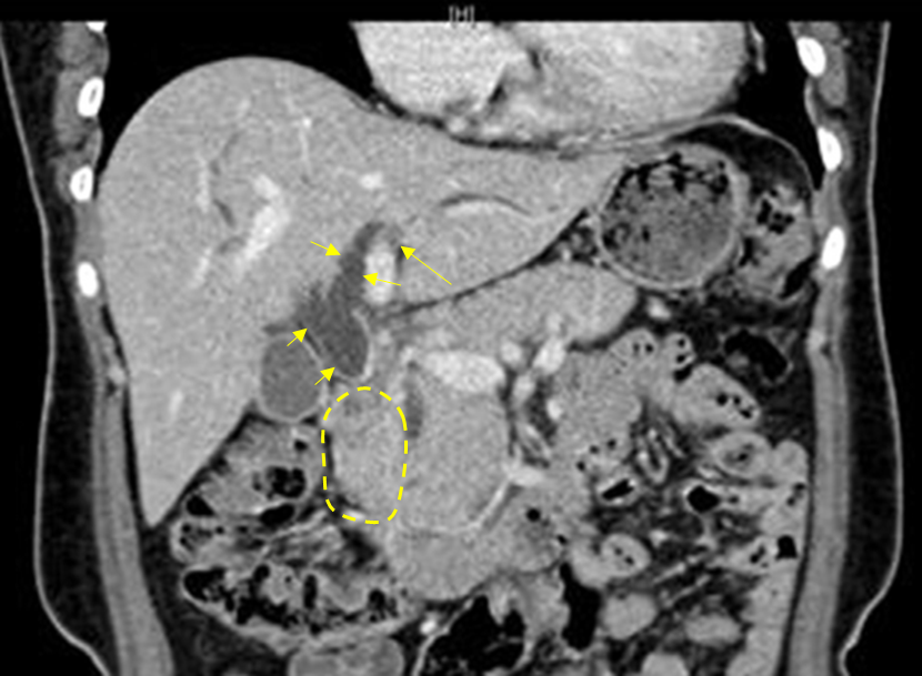
74세 여자가 1주 전부터 얼굴이 노랗다고 병원에 왔다. 입맛이 없으며 소화가 안 된다고 한다. 혈압 100/60 mmHg, 맥박 88회/분, 호흡 18회/분, 체온 36.8℃이다. 공막에 황달이 있다. 배에 압통이나 반동압통은 없으며 덩이도 만져지지 않는다. 혈액검사 결과는 다음과 같다. 복부 컴퓨터단층촬영 사진과 자기공명담췌관조영 사진이다. 진단은?
혈색소 14.3 g/dL, 백혈구 13,600/mm3, 혈소판 429,000/mm3
총빌리루빈 10.1 mg/dL, 직접빌리루빈 7.0 mg/dL
아스파트산아미노기전달효소 117 U/L
알라닌아미노기전달효소 108 U/L
알칼리성인산염분해효소 717 U/L
감마글루타밀전달효소 883 U/L
녹말분해효소 29 U/L, 지방분해효소 21 U/L
암배아항원 4.5 ng/mL (참고치, <5)
CA 19-9 158.8 U/mL (참고치, <37)


정답률 85%
누적 풀이 횟수 1,800+
평균 풀이 시간40초
/
나의 풀이 시간0초
CC | F/74, 황달(1w) |
Hx | |
S/Sx | 식욕부진, 소화불량 V/S 100/60 88 18 36.8, 공막 황달 |
Lab | WBC↑, T/D.bili↑, AST/ALT↑, ALP/GGT↑, CA 19-9↑ |
Img | CT: Periampullary mass MRCP: CBD mass, proximal CBD dilatation |
Etc |
Imp: 담관암(cholangiocarcinoma)
해설
폐쇄성 황달, CA 19-9 상승, CT상 periampullary mass, MRCP상 CBD가 중간에 좁아진 소견이 있으므로 담관암이 가장 의심된다.
• 74세 여자가 1주 전 시작된 황달을 주호소로 내원했다.
• 공막 황달이 있으므로 진성 황달이다. 식욕부진과 소화불량 등 소화기 증상이 동반되므로 간담도계 원인이 의심된다.
• Lab상 direct hyperbilirubinemia가 있고, ALP/GGT가 높으므로 폐쇄성 황달이 의심된다. CA 19-9 상승은 담관암이나 췌장암에서 주로 관찰된다.
• 담도 폐쇄의 원인을 확인하기 위해 촬영한 CT상 CBD와 췌장이 있는 곳에 커다란 mass가 관찰된다. MRCP상 CBD의 중간 부분이 조영되지 않으며, 그보다 distal한 부분은 조영되고, proximal한 부분은 dilatation이 있다. 따라서 췌장암보다는 담도암으로 보인다.
Tip
• 담도계 이상의 CT소견 비교
담관암 정리 | |
위험요인 | • PSC, 총담관낭, 간내담석증 등 |
임상양상 | • 무통성 황달, 복부불편감, RUQ 복부덩이, 체중감소/피로 등 |
검사소견 | • Bilirubin/ALP/GGT 상승, CEA/CA19-9 상승 |
진단 | • CT, MRCP 등: 담관 mass + proximal bile duct dilatation |
치료 | • 간내담관암: 간절제술 • 간문부담관암: CBD + GB + 간 일부 + LN 절제술 • 원위부담관암: 췌십이지장절제술 • 황달: PTBD/ERBD/ENBD 등 |
오답 선지
• 위암: 해부학적 위치상 폐쇄성 황달이 나타나기는 어렵다.
• 췌장암: 췌두부암의 경우 폐쇄성 황달과 CA 19-9 상승이 나타날 수 있으나, 본 증례의 MRCP상 CBD의 가운데 부분이 조영되지 않으므로, 이곳이 mass의 위치로 생각된다. 만약 췌두부암이었다면 조영제가 들어오는 distal CBD 쪽이 조영되지 않았을 것이다.
• 결장암: 해부학적 위치상 폐쇄성 황달이 나타나기는 어렵다.
• 파터팽대암: 폐쇄성 황달을 나타낼 수 있으나, MRCP에서 CBD 중간만 조영되지 않는 소견은 나타나기 어려웠을 것이다.
관련 이론
• 담관암
Reference
• Harrison 21e, pp.653-656