26번
[MD20]
0
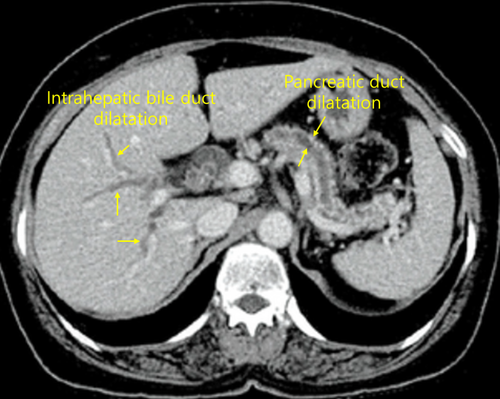
57세 남자가 2개월 전부터 소화가 잘 안 되고 배가 더부룩해서 병원에 왔다. 최근 3개월 동안 체중이 7kg 감소하였다. 1개월 전에 당뇨병으로 진단받아 경구혈당강하제를 복용 중이다. 혈압 120/70mmHg, 맥박 70회/분, 호흡 13회/분, 체온 36.5℃이다. 배에 압통과 반동압통은 없다. 복부 컴퓨터단층촬영 사진이다. 혈액검사 결과는 다음과 같다. 진단은?
혈색소 14.5g/dL, 백혈구 8,500/mm3, 혈소판 290,000/mm3, 총단백질 7.4g/dL, 알부민 4.2g/dL, 아스파르테이트아미노전달효소 45U/L, 알라닌아미노전달효소 54U/L, 총빌리루빈 4.6mg/dL, 알칼리인산분해효소 240U/L, HBsAg(-), anti-HBs(-), anti-HCV(-), 암배아항원 2ng/mL(참고치, <5), 암항원(CA) 19-9 375U/mL(참고치, <37), 알파태아단백질 8ng/mL(참고치, <8.5)

정답률 93%
누적 풀이 횟수 900+
평균 풀이 시간43초
/
나의 풀이 시간0초
CC | M/57, 소화불량(2mo) |
Hx | 1개월 전 당뇨병 진단 |
S/Sx | 체중감소 (7kg/3개월), 압통/반동압통 (-/-) V/S 120/70mmHg–70회/분–13회/분–36.5℃ |
Lab | T.bil↑, ALP↑, CA 19-9↑↑ |
Img | CT: 간내담관, 주췌관 확장 |
Etc |
Imp: 췌장암
해설
소화불량, 체중감소, 최근 진단된 당뇨병, 혈액검사 상 CA19-9 상승 등으로부터 췌장암을 의심할 수 있다. T.bil, ALP 상승 및 CT 상 간내담관과 주췌관의 확장은 담관폐쇄를 의미하며 췌두부암 등 팽대부주위암에서 나타날 수 있다.
Tip
• 고령의 환자가 갑자기 당뇨 진단을 받았다면 췌장암을 한번쯤 의심해 보는 것이 중요하다.
췌장암 정리 | |
위험요인 | • 고령, 흡연, 만성 췌장염 등 |
임상양상 | • 복통, 체중감소, 황달 |
검사소견 | • CA 19-9 상승, Bilirubin/ALP/GGT 상승 가능 |
진단 | • CT: Pancreatic mass, pancreatic duct dilatation(head cancer의 경우) • MRCP: Double-duct sign(head cancer의 경우) |
치료 | • 수술 가능 + head: 췌십이지장절제술 • 수술 가능 + body/tail: 원위부췌장절제술 • 수술 불가능: 전신 CTx • 고식적 치료(황달시 ERBD/PTBD 등) |
오답 선지
• 만성 이자염의 경우 유사한 증상이 나타날 수 있으나, 환자의 CT 소견에 부합하지 않는다.
관련 이론
• 췌장암
Reference
• Harrison 21e, pp.657-662