36번
[임종평22-1]
0
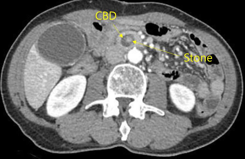
72세 남자가 하루 전부터 열과 오한이 난다고 응급실에 왔다. 명치 부위가 아프다고 한다. 6년 전 위암으로 위전절제술을 시행받았다. 혈압 130/80 mmHg, 맥박 102회/분, 호흡 22회/분, 체온 38.4℃이다. 공막에 황달이 있고, 장음은 정상이나 오른쪽 윗배와 명치 부위에 압통이 있다. 혈액검사 결과는 다음과 같다. 복부 컴퓨터단층촬영 사진과 자기공명 담췌관 조영술 사진이다. 진단은?
백혈구 15,900/mm3, 혈색소 11.9 g/dL, 혈소판 279,000/mm3
총빌리루빈 5.86 mg/dL
알칼리성인산염분해효소 1,068 U/L
아스파트산아미노기전달효소 252 U/L
알라닌아미노기전달효소 194 U/L
C-반응단백질 16.0 mg/L (참고치, <10)
암항원(CA) 19-9 23.1 U/mL (참고치, <37)
암배아항원(CEA) 3.75 ng/mL (참고치, <5)


정답률 82%
누적 풀이 횟수 1,100+
평균 풀이 시간52초
/
나의 풀이 시간0초
CC | M/72, 발열/오한(1d) |
Hx | Gastric cancer s/p total gastrectomy (6y) |
S/Sx | 상복부 통증 V/S 130/80 102 22 38.4, 공막 황달, epigastric/RUQ dT(+) |
Lab | WBC↑, CRP↑, T.bili↑, ALP↑, AST/ALT↑ |
Img | CT: CBD dilatation MRCP: CBD filling defect with proximal CBD dilatation |
Etc |
Imp: 총담관담석(choledocholithiasis), 급성 담관염(acute cholangitis)
해설
발열, 황달, 우상복부 통증을 호소하는 환자에게서 담도폐쇄의 혈액검사 소견과 영상검사 소견이 관찰되므로 총담관담석으로 인한 급성 담관염으로 진단할 수 있다.
• 72세 남자가 1일 전 시작된 발열 및 오한으로 내원했다.
• 공막 황달, epigastric 및 RUQ 통증이 있으므로 간담췌 관련 이상을 의심할 수 있다. 또한 발열, leukocytosis, CRP elevation이 확인되므로 전신적 염증이 동반되었음을 알 수 있다.
• 혈액검사상 AST/ALT elevation, hyperbilirubinemia, ALP elevation이 있으므로 폐쇄성 황달을 의심할 수 있으며, 폐쇄성 황달과 전신적 염증을 조합하면 CBD stone에 의한 acute cholangitis가 가장 의심된다.
• 이를 확인하기 위한 CT에서 CBD dilatation이 보이며, MRCP에서는 CBD stone으로 추정되는 filling defect가 관찰되며 그 defect보다 proximal하게 bile duct dilatation이 보인다.
• 따라서 CBD stone으로 인한 acute cholangitis으로 진단할 수 있다.
Tip
Tip
급성 담관염 정리 | |
원인 | • 총담관담석(m/c), 종양, 총담관낭 등 |
임상양상 | • RUQ~상복부 통증, 발열, 황달 |
검사소견 | • WBC/CRP↑, bilirubin/ALP/GGT↑ |
진단 | • US/CT: Bile duct dilatation, stone이 보일 수도 있음 • MRCP/ERCP: Proximal bile duct dilatation, filling defect 등 |
치료 | • 담도 감압술 - ERCP(ERBD, ENBD) - 1st line (담석의 경우 + EST + stone removal) - PTC(PTBD) • 원인 치료: 총담관담석의 경우 담낭절제술, 종양의 경우 암 치료 등 • 항생제 및 기타 보존적 치료 |
오답 선지
• 담관낭종(choledochal cyst): 총담관의 일부가 낭(cyst)의 형태로 확장되는 질환이며, MRCP상 확장된 낭이 관찰된다.
• 담낭농증(담낭염): RUQ압통, 발열, 백혈구증가의 triad를 가지며, 담관염과 달리 황달, ALP/GGT 상승 등의 담도폐쇄 소견은 드물다.
• 이자머리암, 먼쪽 온쓸개관암: 두 암 모두 담도폐쇄를 일으킬 수 있지만 급성 염증 소견보다는 체중 감소, 종양표지자(CA 19-9, CEA)의 증가 소견을 제시한다.
관련 이론
• 총담관담석증과 담관염
Reference
• Sabiston 21e, pp.1493-1502