만성폐쇄성폐질환

/

53

/

53

3번

[MD25]

0

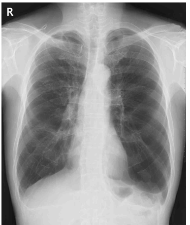
66세 남자가 3일 전부터 숨이 찬다며 병원에 왔다. 수년 전부터 오르막을 오를 때 숨이 찼는데 1주 전 기침이 나고 가래가 늘면서 숨이 더 찬다고 한다. 45갑•년의 흡연자이다. 혈압 124/86 mmHg, 맥박 98회/분, 호흡 22회/분, 체온 36.7°C이다. 양쪽 가슴에서 쌕쌕거림이 들린다. 맥박산소측정 시 산소 포화도는 99%이다. 가슴 X선 사진이다. 치료는?

정답률 57%

누적 풀이 횟수 2,400+

평균 풀이 시간51초

/

나의 풀이 시간0

CC

M/66 호흡곤란(3d)

Hx

흡연: 45갑년

S/Sx

오르막길에서 호흡곤란(수년) → 1주 전부터 기침 및 가래 증가, 증상 악화

V/S 124/86 98 22 36.7 SpO₂ 99%, bilateral wheezing

Lab

Img

CXR: Lung hyperinflation

Etc

Imp: 만성페쇄성폐질환 급성악화(chronic obstructive pulmonary disease, acute exacerbation)

해설

COPD 급성악화의 치료로 전신 스테로이드를 사용한다.

• 66세 남자가 3일 전부터 시작된 호흡곤란을 주호소로 내원하였다.

• 과거 병력상 수년 전부터 mMRC grade 1 수준의 호흡곤란이 있었으며, 오랜 흡연력을 고려할 때 IPF나 COPD와 같은 만성적으로 진행하는 호흡기 질환의 가능성을 의심해야 한다.

• 청진 시 양쪽 폐에서 쌕쌕거림이 들렸으며, CXR에서 폐의 과팽창이 관찰되었다. 이를 바탕으로 기저 질환으로 COPD를 가지고 있을 가능성이 높다고 판단된다.

• 1주일 전부터 시작된 기침과 가래 이후 호흡곤란이 악화되었고 천명음이 동반된 점을 고려할 때, 이는 COPD의 급성 악화로 볼 수 있다.

• COPD 급성 악화의 치료는 전신 스테로이드와 SABA와 같은 약물 치료와, 산소 요법, 기계환기 등의 호흡 보조 요법으로 구성된다.

• 본 증례에서는 산소포화도가 99%로 측정되어 목표 SpO₂ 범위인 88~92%를 초과하고 있는 상태이다. 따라서 FiO₂를 조절하여 적정 수준으로 산소 치료를 지속해야 하며, 약물 치료로는 전신 스테로이드와 SABA를 고려할 수 있다.

• 따라서 가장 적절한 치료는 전신 스테로이드로 프레드니솔론을 사용하는 것이다.

Tip

• CXR상 폐 과팽창 소견을 판단할 때 평평해진 횡격막의 윤곽과 midclavicular line에서 횡격막 level 위 6개 이상의 anterior rib이 보이는 경우로 생각하고 해석하여도 국시 수준에서는 큰 문제가 없다. 이외 과투명한 폐실질 및 수평화된 갈비뼈 등의 소견을 참조할 수 있다.

COPD 급성악화 정리

급성 악화 치료

SABA + 전신 스테로이드 + O2

NIV: PaCO2 > 45mmHg, pH < 7.35

Intubation: 의식저하, NIV 실패, 기도확보 어려움

CO2 narcosis

높은 FiO2 → PaO2, SaO2는 회복되었으나 PaCO2 증가 → 의식저하

FiO2 감량 필요

오답 선지

• 가슴관삽입: 호흡곤란이 기흉, 혈흉 등에 의해 발생한 경우 고려할 수 있다.

• 퓨로세마이드: 호흡곤란의 원인이 심부전, 간경화와 같이 volume overload를 유발할 수 있는 경우 사용할 수 있다.

• 류코트라이엔수용체대항제: 천식의 치료에서 controller로 사용되며 COPD의 급성악화에는 사용하지 않는다.

• 코삽입관 산소 3 L/분 투여: 산소포화도가 99%로 측정되어 목표 SpO₂ 범위인 88~92%를 초과하고 있으므로 추가적인 산소 공급보다는 FiO₂를 조절하여 적정 수준으로 산소 치료를 지속해야 한다.

관련 이론

COPD의 급성악화