31번
[임종평21-1]
0
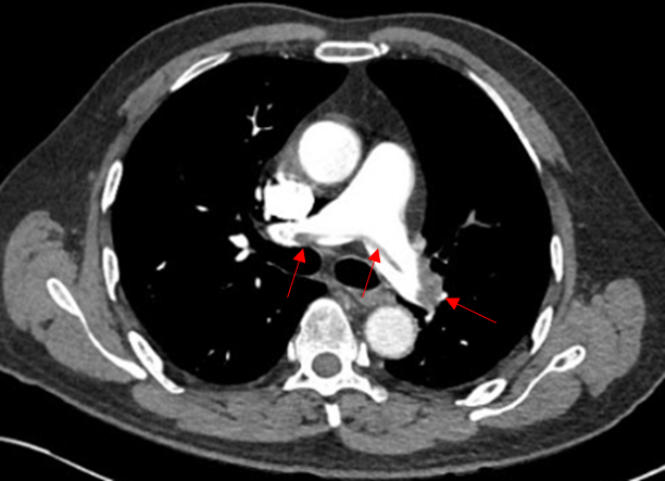
74세 여자가 1시간 전부터 가슴이 답답하고 숨쉬기가 힘들다고 한다. 7일 전 오른쪽 대퇴골절로 수술 후 입원 중이다. 10년 전부터 고혈압과 당뇨약을 복용 중이다. 혈압 140/70 mmHg, 맥박 110회/분, 호흡 32회/분, 체온 37.4℃이다. 호흡음은 규칙적이며 양쪽에서 균일하게 들린다. 혈액검사 결과는 다음과 같다. 가슴 컴퓨터단층촬영 사진이다. 치료는?
혈액: 백혈구 11,000/mm3, 혈색소 9.3 g/dL, 혈소판 140,000/mm3, 프로트롬빈시간(INR) 1.21, D-이량체 2.5 mg/L (참고치, <0.5)
동맥혈가스(대기호흡): pH 7.31, PaCO2 27.8 mmHg, PaO2 64.3 mmHg, HCO3- 21.1 meq/L, SaO2 91%

정답률 76%
누적 풀이 횟수 900+
평균 풀이 시간32초
/
나의 풀이 시간0초
CC | F/74, 흉부 불편감 & 호흡곤란(1hr) |
Hx | 7일 전 Rt. femur fracture 관련 op 후 입원, HTN & DM(10yr) |
S/Sx | V/S 140/70 110 32 37.4 |
Lab | D-dimer↑, PaCO2↓, PaO2↓, SaO2↓ |
Img | CT: Thrombus at pulmonary artery |
Etc |
Imp: 폐색전증(pulmonary thromboembolism, PTE)
해설
PTE가 있고 V/S이 stable하고 anticoagulant의 금기가 없으므로 heparin을 이용한 anticoagulation을 시행한다.
• 74세 여자가 1시간 전부터 시작된 흉부 불편감과 호흡곤란을 주호소로 내원했다.
• 7일 전 Rt. femur fracture 관련 수술 후 입원중이므로 bed rest 상태라고 추정할 수 있다. 이는 PTE의 위험인자 중 하나다. 급성 호흡곤란에서는 항상 PTE를 의심해야 한다.
• PTE가 의심되어 진행한 조영증강 흉부 CT에서 폐동맥에 혈전이 관찰되며, 이로써 PTE로 확진할 수 있다.
• 현재 환자의 V/S이 stable하므로 heparin 등을 이용한 anticoagulation을 시행한다.
Tip
• 폐색전증의 진단 및 치료
오답 선지
• 항생제: 미열과 경미한 leukocytosis가 있다고도 볼 수 있으나 수술 후 회복중인 것을 감안해야 하므로 호흡기 감염이라고 보기에는 어렵다.
• 혈전용해제: V/S이 stable하기 때문에 thrombolysis는 사용하지 않는다.
• 하대정맥필터삽입술: 치명적인 현성 출혈 등 anticoagulation의 금기에 해당하지 않으므로 우선 anticoagulation을 사용한다.
관련 이론
• 폐색전증
Reference
• Harrison 21e, pp.2091-2101