32번
[임종평20-2]
0
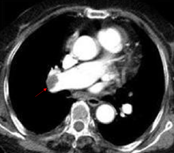
70세 여자가 하루 전부터 숨이 차다며 병원에 왔다. 숨찬 증상이 시작된 후부터 기침을 할 때 피가 묻어 나온다고 한다. 1개월 전 넘어져서 발생한 척추 압박 골절 때문에 수술 이후 거의 누워 지냈다고 한다. 혈압 142/84 mmHg, 맥박 102회/분, 호흡 24회/분, 체온 36.4°C이다. 가슴 청진에서 호흡음은 정상이다. 가슴 X선 사진과 가슴 컴퓨터단층촬영 사진이다. 심초음파검사 결과는 다음과 같다. 치료는?
좌심실박출률 52%
우심실 수축기 압력 30 mmHg
우심실 운동 기능 정상 범위

정답률 90%
누적 풀이 횟수 700+
평균 풀이 시간34초
/
나의 풀이 시간0초
CC | F/70, 호흡곤란 (1d) |
Hx | 1개월 전 척추골절 수술 후 누워서 지냄 |
S/Sx | 1일 전부터 호흡곤란 기침할때 소량 객혈 동반 V/S: PR 102 RR 24, 호흡음 정상 |
Lab | - |
Img | CXR : 정상 Chest CT : 우폐동맥 혈전 |
Etc | 심초음파 : 정상 |
Imp: 폐색전증(pulmonary thromboembolism, PTE)
해설
급성 호흡곤란, 장기간 bed rest의 과거력, CT상 혈전이 있으므로 PTE 진단 하, V/S stable하므로 heparin 등의 anticoagulation을 시행한다.
• 70세 여자가 1일 전부터 지속된 호흡곤란으로 내원하였다.
• 수술 후 누워서 지낸 과거력이 있으며, 급성 호흡곤란, 객혈 증상이 있으므로 폐색전증의 가능성을 생각해볼 수 있다.
• CT에서 폐동맥 혈전이 보이므로 폐색전증으로 진단할 수 있다.
• V/S이 안정적이며 우심실 기능 또한 보존되어 있으므로 항응고치료를 진행한다. 보기 중에서는 헤파린을 사용한다.
Tip
• 폐색전증의 진단 및 치료
오답 선지
• 아스피린, 실로스타졸, 클로피도그렐: 모두 항혈소판제에 해당하며 항응고제와 다르다.
• 유로키나아제: 혈전용해제에 해당하며 혈역학적으로 불안정한 폐색전증 환자에서 사용된다.
관련 이론
• 폐색전증
Reference
• Harrison 21e, pp.2091-2101