36번
[임종평20-1]
0
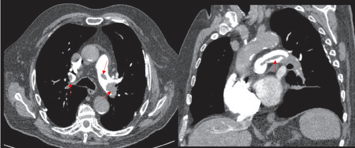
65세 여자가 3일 전 교통사고로 오른쪽 넓적다리뼈 골절 수술 후 입원 중 갑자기 숨쉬기가 어렵고 가슴이 답답하다고 한다. 평소 고혈압이 있다고 한다. 혈압 92/54 mmHg, 맥박 125회/분, 호흡 34회/분, 체온 37.9°C이다. 양쪽 아랫가슴의 호흡음이 감소하였다. 비강 산소 3 L를 공급 후 시행한 동맥혈가스분석검사 결과는 다음과 같다. 폐 컴퓨터단층촬영 사진이다. 이 질환을 예방하기 위한 약제는?
pH 7.520, PaCO2 28.3 mmHg, PaO2 62.5 mmHg, HCO3- 22.3 mEq/L, SaO2 92 %

정답률 84%
누적 풀이 횟수 800+
평균 풀이 시간25초
/
나의 풀이 시간0초
CC | F/65, 갑작스런 호흡곤란, 흉부불편감 |
Hx | 3일 전 교통사고로 골절 수술 후 입원 중 고혈압 병력 |
S/Sx | 갑작스런 호흡곤란, 흉부불편감 V/S 92/54 125 34 37.9, 양쪽 아랫가슴 호흡음 감소 |
Lab | ABGA: 호흡성 알칼리증, 저산소증 |
Img | Chest CT: 양측 폐동맥 혈전 |
Etc |
Imp: 폐색전증(pulmonary thromboembolism, PTE)
해설
급성 호흡곤란, 교통사고 과거력, CT상 혈전이 있으므로 PTE이다. PTE 예방을 위한 약제는 heparin 등의 anticoagulant이다.
• 65세 여자가 갑작스러운 호흡곤란으로 내원하였다.
• 수술 후 누워서 지내고 있으며, 호흡곤란, 흉부불편감 증상이 있으므로 폐색전증의 가능성을 생각해볼 수 있다.
• CT에서 폐동맥 혈전이 보이므로 폐색전증으로 진단할 수 있다.
• 폐색전증/깊은정맥혈전증(DVT) 예방을 위해서 헤파린, DOAC 등의 anticoagulant와, 이의 금기증에 해당할 경우 공기 압박 장치를 사용할 수 있다.
Tip
폐색전증 정리 | |
위험요인 | • 전신마취 수술, 고관절/슬관절 수술 • 장기간 bed rest |
임상양상 | • 급성 호흡곤란, 흉통, 객혈 |
검사소견 | • D-dimer: 상승 |
진단 | • CT, 폐환기관류스캔 → 심초음파(RV 기능 평가) |
치료 | • V/S stable: 항응고제 or IVC filter • V/S unstable: t-PA + 항응고제 or embolectomy |
예방 | • 항응고제, 공기압박장치(항응고제 금기 시) |
오답 선지
• 아스피린: 주요 정형외과적 수술 이후 예방을 위해 anticoagulant 또는 aspirin을 투여할 수도 있으나, 치료의 main line으로 보기에는 어렵다.
• 조직플라스미노겐활성제: BP 92/54로 저혈압이고 명시된 혈전용해제 금기증이 없으므로 치료를 위해 IV tPA를 사용할 수 있으나 본 문제에서는 예방 약제를 묻고 있다.
관련 이론
• 폐색전증
Reference
• Harrison 21e, pp.2091-2101