37번
[임종평19-2]
0
65세 남자가 2일 전부터 숨이 차다며 병원에 왔다. 1주일 전 교통사고 후 침상에서 안정을 취하던 중 3일 전부터 왼쪽 다리가 붓고 아프기 시작하였다고 한다. 혈압 120/90mmHg, 맥박 110회/분, 호흡 22회/분, 체온 36.8℃이다. 신체진찰에서 심음과 호흡음은 정상이다. 가슴 컴퓨터단층촬영 사진과 심전도이다. 치료 방침을 정하기 위한 검사는?


정답률 60%
누적 풀이 횟수 800+
평균 풀이 시간32초
/
나의 풀이 시간0초
CC | M/65, 호흡곤란 (2d) |
Hx | 1주 전 교통사고 후 누워서 지냄 |
S/Sx | 왼쪽 다리 부종, 통증(3d), 호흡곤란(2d) V/S 120/90 110 22 36.8, 심음, 호흡음 정상 |
Lab | |
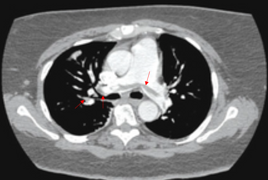
Img | Chest CT: 양측 폐동맥 혈전 |
Etc | ECG: Sinus tachycardia, I S wave, III T inversion, V2~V4 T wave inversion |
Imp: 폐색전증(pulmonary thromboembolism, PTE)
해설
급성 호흡곤란, 장기간 bed rest 과거력, CT상 혈전이 있으므로 PTE 진단 하, 치료방침을 정하기 위한 RV 기능 평가를 위해 심초음파를 시행한다.
• 65세 남자가 2일간 지속된 호흡곤란으로 내원하였다.
• 교통사고 후 누워서 지낸 과거력이 있으며, 호흡곤란과 함께 왼쪽 다리 부종, 통증이 있으므로 깊은정맥혈전증(DVT)이 동반된 폐색전증이 의심된다. ECG에서도 PTE의 전형적인 S1Q3T3이 확인되며, V2~V4 T wave inversion 등 RV strain을 시사하는 소견도 확인된다.
• CT에서 폐동맥 혈전이 보이므로 폐색전증으로 진단할 수 있다.
• 폐색전증의 치료 방침 결정을 위해서는 혈압과 우심실 기능에 대한 평가가 필요하다. 따라서 심초음파 검사를 진행하여야 한다.
Tip
폐색전증 정리 | |
위험요인 | • 전신마취 수술, 고관절/슬관절 수술 • 장기간 bed rest |
임상양상 | • 급성 호흡곤란, 흉통, 객혈 |
검사소견 | • D-dimer: 상승 |
진단 | • CT, 폐환기관류스캔 → 심초음파(RV 기능 평가) |
치료 | • V/S stable: 항응고제 or IVC filter • V/S unstable: t-PA + 항응고제 or embolectomy |
예방 | • 항응고제, 공기압박장치(항응고제 금기 시) |
오답 선지
• D-이량체: 폐색전증의 screening 검사이다.
• 폐관류검사: CT를 진행하지 못할 때 폐색전증 진단에 2차적으로 이용될 수 있는 검사이다.
관련 이론
• 폐색전증
Reference
• Harrison 21e, pp.2091-2101