4번
[MD24]
0
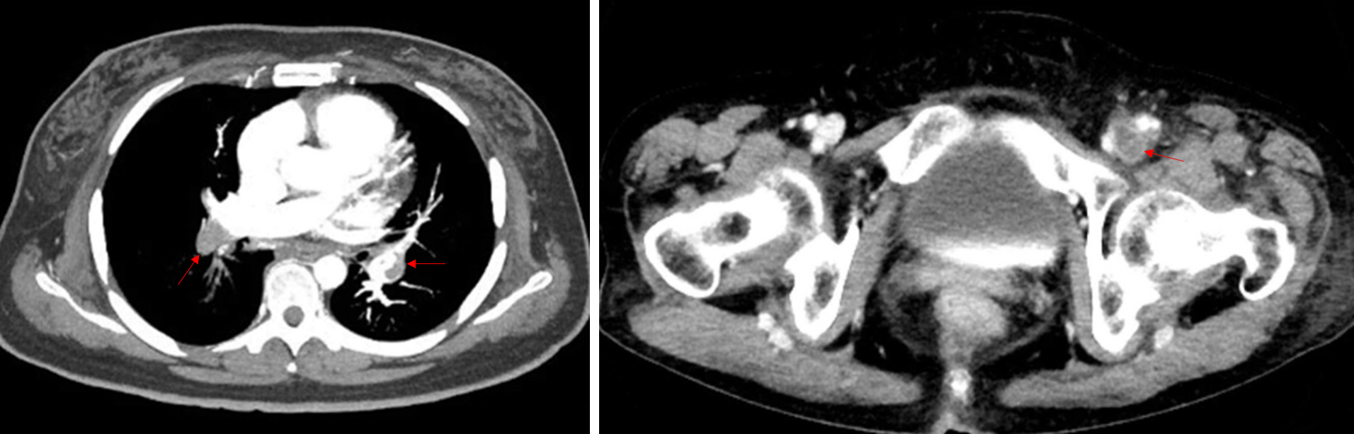
64세 남자가 1일 전부터 숨이 찬다며 병원에 왔다. 10일 전 발생한 뇌출혈로 치료를 받은 후 퇴원하였다. 20갑·년의 과거 흡연자이다. 혈압 146/86 mmHg, 맥박 94회/분, 호흡 24회/분, 체온 36.4℃이다. 가슴청진에서 심음과 호흡음은 정상으로 들린다. 가슴 컴퓨터단층촬영 사진과 하지 컴퓨터단층촬영 정맥조영사진이다. 혈액검사 결과는 다음과 같다. 치료는?
혈색소 12.9 g/dL, 백혈구 12,370/mm3
혈소판 162,000/mm3
뇌나트륨배설펩타이드 78 pg/mL (참고치, <100)


정답률 72%
누적 풀이 횟수 2,400+
평균 풀이 시간41초
/
나의 풀이 시간0초
CC | M/64, 호흡곤란(1d) |
Hx | 10일 전: Brain hemorrhage → D/C 흡연: Ex-smoker(20갑년) |
S/Sx | V/S 146/86 94 24 36.4 |
Lab | WBC↑ |
Img | Chest CT: PTE in both main lobar pulmonary arteries Lower extremity CT angiography: DVT in Lt. external iliac vein |
Etc |
Imp: 폐색전증(pulmonary thromboembolism, PTE), 깊은정맥혈전증(deep vein thrombosis, DVT)
해설
PTE 및 DVT가 확인되지만 V/S stable하며 10일 전 뇌출혈이 있었던 과거력을 고려할 때 anticoagulation은 위험하므로 IVC filter를 삽입한 후 경과를 관찰한다.
• 64세 남자가 1일 전 시작된 호흡곤란을 주호소로 내원했다.
• CT상 Rt. main pulmonary artery 및 Lt. lobar pulmonary artery에 thrombus가 확인되므로 PTE로 진단하며, Lt. external iliac vein에 thrombus가 확인되므로 DVT로 진단한다. 10일 전 뇌출혈로 인해 입원치료 중 시행한 bed rest로 인해 DVT가 발생하였으며, DVT가 embolism되어 PTE로 발전한 것으로 추정된다.
• 현재 V/S은 stable하다. 따라서 heparin 등으로 anticoagulation을 하는 것이 적절하겠으나, 뇌출혈이 있은 지 얼마 되지 않았으므로 anticoagulation은 재출혈을 유발할 수 있어 위험하다. 따라서 우선 추가적 PTE 악화를 막기 위해 IVC filter를 삽입하고, PTE가 소실될 때까지 V/S을 monitoring하며 경과관찰하는 것이 필요하다.
Tip
폐색전증 진단 및 치료
오답 선지
• 아스피린(aspirin): Aspirin은 antiplatelet이므로 DVT/PTE의 치료와 큰 관계가 없다.
• 저분자량헤파린(low molecular weight heparin, LMWH): 일반적인 DVT/PTE의 anticoagulation에 흔히 사용되지만, 본 증례는 10일 전 뇌출혈이 있었으므로 anticoagulant 투약은 위험하다.
• 직접경구항응고제(direct oral anticoagulant, DOAC): 일반적인 DVT/PTE의 anticoagulation에 흔히 사용되지만, 본 증례는 10일 전 뇌출혈이 있었으므로 anticoagulant 투약은 위험하다.
• 재조합조직플라스미노젠활성제(recombinant tissue plasminogen activators, t-PA): PTE로 인해 V/S instability가 발생할 때 적극적인 thrombolysis를 위해 투여할 수 있다. 본 증례는 V/S이 stable하며, unstable했다고 하더라도 뇌출혈 병력이 있으므로 thrombolysis의 금기에 해당한다.
관련 이론
• 폐색전증
Reference
• Harrison 21e, pp.2091-2101