5번
[MD23]
0
70세 남자가 1일 전부터 갑자기 숨이 찬다며 병원에 왔다. 2주 전부터 오른쪽 다리가 부었다고 한다. 식은땀을 흘리면서 숨을 몰아쉬고 있다. 40갑 ∙ 년의 흡연자이고 복용하는 약은 없다. 혈압 70/50 mmHg, 맥박 118회/분, 호흡 26회/분, 체온 36.9℃이다. 가슴 청진에서 호흡음은 정상으로 들린다. 가슴 컴퓨터단층촬영 사진이다. 치료는?

정답률 87%
누적 풀이 횟수 1,900+
평균 풀이 시간22초
/
나의 풀이 시간0초
CC | M/70, 호흡곤란(1d) |
Hx | 흡연: 40갑년 |
S/Sx | 하지 부종(2w, Rt.), 식은땀, 숨을 몰아쉼 V/S 70/50 118 26 36.9 |
Lab | |
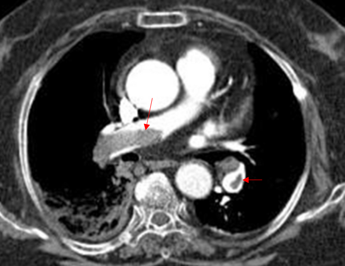
Img | CT: Thrombus in pulmonary a., r/o partial Rt. lung infarction |
Etc |
Imp: 폐색전증(pulmonary thromboembolism, PTE)
해설
CT상 PTE가 확인되며, V/S이 불안정하며, thrombolysis의 금기증이 없으므로 IV t-PA를 투여한다.
• 70세 남자가 1일 전 시작된 호흡곤란을 주호소로 내원했다.
• 일측성 하지 부종이 2주간 있었으므로 깊은정맥혈전증(deep vein thrombosis, DVT)에 의한 PTE가 매우 의심된다.
• DVT 증상, 빈맥으로 보아 PTE가 매우 의심될 뿐만 아니라, V/S이 불안정하므로 바로 CT를 촬영했다. CT상 pulmonary a. 내부에 큰 혈전이 보이며, PTE로 확진할 수 있다.
• PTE의 치료는 혈역학적 안정성에 따라 나뉘는데, 현재 저혈압이 있으므로 신속한 reperfusion이 필요하며, thrombolysis의 금기증이 없으므로 혈전용해제인 t-PA(tissue plasminogen activator)를 투여한다.
Tip
• 폐색전증의 진단 및 치료
오답 선지
• 와파린(warfarin): 항응고제이다. 항응고제는 금기증이 없는 한 모든 PTE에서 투여되어야 하며, thrombolysis를 시행할 본 증례도 예외는 아니다. 하지만 현재 가장 필요한 치료는 thrombolysis이므로 가장 적절한 답은 아니다.
• 미분획헤파린(unfractionated heparin): ‘와파린’에 대한 오답 해설과 동일
• 저분자량헤파린(low molecular weight heparin, LMWH): ‘와파린’에 대한 오답 해설과 동일
• 직접경구항응고제(direct oral anticoagulant, DOAC): ‘와파린’에 대한 오답 해설과 동일
관련 이론
• 폐색전증
Reference
• Harrison 21e, pp.2091-2101