33번
[MD18]
0
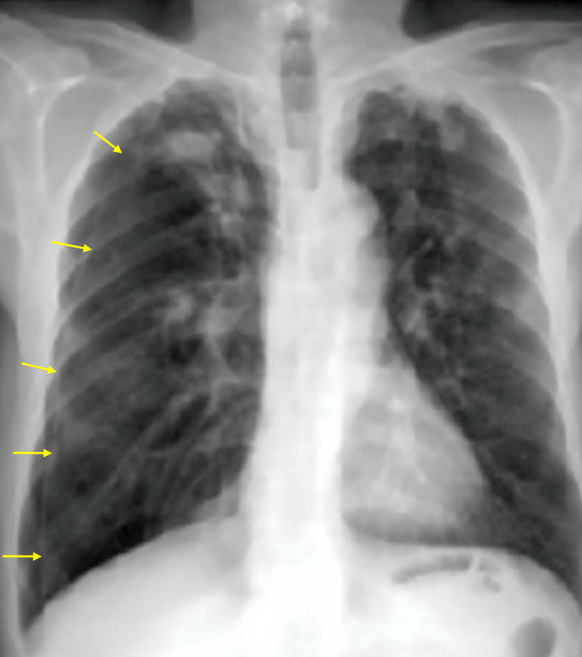
72세 남자가 하루 전부터 숨이 찬다며 병원에 왔다. 평소에는 평지를 걸을 때 숨이 찬 정도였으나 어제부터는 일상생활을 하기 어려울 정도로 숨이 차다고 하였다. 20년 전에 폐결핵을 앓았으며 50갑·년의 흡연력이 있다. 혈압 140/90mmHg, 맥박 102회/분, 호흡 24회/분, 체온 36.6℃이다. 청진할 때 오른쪽 가슴에서 호흡음이 작게 들린다. 가슴 X선 사진이다. 대기 호흡상태의 동맥혈가스분석 결과는 다음과 같다. 치료는?
pH 7.39, PCO2 48mmHg, PO2 62mmHg, HCO3- 28mEq/L, SaO2 90%

정답률 34%
누적 풀이 횟수 900+
평균 풀이 시간57초
/
나의 풀이 시간0초
CC | M/72, 호흡곤란 (1d) |
Hx | 20년 전 폐결핵 과거력, 흡연력(50PY) |
S/Sx | 평소에 운동시 호흡곤란(mMRC grade 3) → 하루 전부터 호흡곤란 악화(mMRC grade 4) V/S 140/90-102-24-36.6, 오른쪽 가슴 호흡음 감소 |
Lab | ABGA : 저산소증 |
Img | CXR : 우측 폐 pleural line |
Etc | - |
Imp: 이차성 기흉(secondary spontaneous pneumothorax)
해설
기흉이 COPD 등의 기저 폐질환에 의해 발생했을 것이라고 생각되므로 가슴관 삽입을 시행한다.
• 72세 남자가 1일 전부터 지속된 호흡곤란으로 내원하였다.
• CXR에서 우측 폐에 pleural line이 보이며 distal vascular marking의 소실이 확인되므로 기흉으로 진단할 수 있다.
• 50갑년 흡연력이 있는데 평소에 mMRC grade 3 수준의 호흡곤란이 있는 것으로 보아 COPD 병력이 있음을 추측할 수 있다.
• 따라서 이차성 기흉으로 생각하여 흉관 삽입이 필요하다.
Tip
기흉 정리 | |
위험요인 | • 일차성: 흡연, 남성 • 이차성: COPD • 의인성: 바늘생검, 흉막천자, 기계환기 • 외상 |
임상양상 | • 급성 흉통, 호흡곤란 • 호흡음 감소, 타진 시 과공명 |
검사소견 | • CXR: Pleural line 보임, vascular marking이 보이지 않음 |
일차성/의인성 기흉 치료 | • 안정 + 첫 기흉 + 증상 경함: 경과관찰 (+ O2) • 재발성 or 불안정: 흉관 삽입 |
이차성/외상성 기흉 치료 | • 흉관 삽입 |
긴장성 기흉 | • V/S unstable • CXR: Mediastinal shift • 즉각적인 바늘 감압 → 이후 흉관 삽입 |
관련 이론
• 기흉
Reference
• Harrison 21e, p.2200
• Murray & Nadel 7e, pp.1539-1550