38번
[MD17]
0
15세 남자가 3시간 전부터 갑자기 가슴이 아프고 숨쉬기가 힘들어서 응급실에 왔다. 가슴청진에서 왼쪽 호흡음이 감소하였다. 가슴 X선 사진이다. 치료는?

정답률 97%
누적 풀이 횟수 700+
평균 풀이 시간14초
/
나의 풀이 시간0초
CC | M/15, 흉통, 호흡곤란 (3hr) |
Hx | 비흡연자 |
S/Sx | 흉통, 호흡곤란 / 왼쪽 호흡음 감소 |
Lab | |
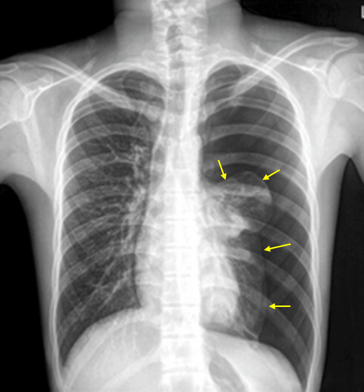
Img | CXR: 좌측 폐 pleural line |
Etc |
Imp: 일차성 자발성 기흉(primary spontaneous pneumothorax, PSP)
해설
기흉의 양이 매우 크므로 흉관 삽입을 시행한다.
• 15세 남자가 3시간 동안 지속된 흉통, 호흡곤란으로 내원하였다.
• CXR에서 좌측 폐에 pleural line이 보이며, 특이 병력이 없으므로 일차성 기흉으로 진단할 수 있다.
• 기흉이 좌측 폐의 대부분을 차지하고 있으므로 경과관찰, 산소흡입, 바늘흡인보다 흉관 삽입을 먼저 고려할 수 있다.
Tip
기흉 정리 | |
위험요인 | • 일차성: 흡연, 남성 • 이차성: COPD • 의인성: 바늘생검, 흉막천자, 기계환기 • 외상 |
임상양상 | • 급성 흉통, 호흡곤란 • 호흡음 감소, 타진 시 과공명 |
검사소견 | • CXR: Pleural line 보임, vascular marking이 보이지 않음 |
일차성/의인성 기흉 치료 | • 안정 + 첫 기흉 + 증상 경함: 경과관찰 (+ O2) • 재발성 or 불안정: 흉관 삽입 |
이차성/외상성 기흉 치료 | • 흉관 삽입 |
긴장성 기흉 | • V/S unstable • CXR: Mediastinal shift • 즉각적인 바늘 감압 → 이후 흉관 삽입 |
관련 이론
• 기흉
Reference
• Harrison 21e, p.2200
• Murray & Nadel 7e, pp.1539-1550