44번
[임종평24-1]
0
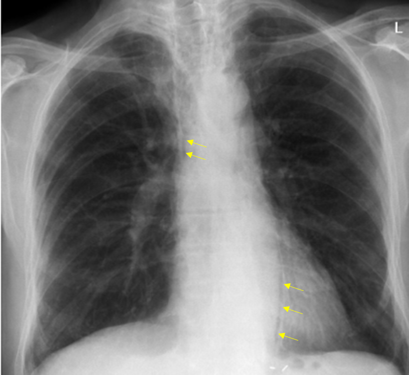
65세 남자가 3시간 전부터 찌르는 듯한 윗가슴 통증으로 병원에 왔다. 1개월 전에 비소세포폐암 3B병기로 진단받고 항암방사선 동시요법을 받았다. 구역, 식욕저하, 윗가슴 통증으로 식도염이 의심되어 간헐적으로 방사선치료가 중단되곤 했다고 한다. 혈압 115/70 mmHg, 맥박 110회/분, 호흡 24회/분, 체온 37.7 ℃이다. 목과 앞가슴이 부어 있었고, 가슴 청진에서 양쪽 윗가슴의 호흡음이 감소하였다. 혈액검사 결과는 다음과 같다. 가슴 X선사진이다. 검사는?
백혈구 14,000/mm3 (중성구 78 %), 혈색소 10.5 g/dL, 혈소판 160,000/mm3,
혈액요소질소 23 mg/dL, 크레아티닌 1.1 mg/dL, 아밀라아제 170 U/L (참고지: 20~96)

정답률 70%
누적 풀이 횟수 2,500+
평균 풀이 시간59초
/
나의 풀이 시간0초
CC | M/65, 윗가슴 통증(3h) |
Hx | NSCLC stage 3B(1mo ago) on RTX → 구역, 식욕저하, 윗가슴 통증으로 RTx 간헐적으로 hold |
S/Sx | V/S 115/70 110 24 37.7 목과 앞가슴의 부종, 양쪽 윗가슴 호흡음 감소 |
Lab | Hb↓, WBC↑ (neutrophil↑), amylase↑ |
Img | CXR: Pneumomediastinum |
Etc |
Imp: 종격동기종(pneumomediastinum)
R/O 급성 종격동염(acute mediastinitis)
해설
Acute sharp chest pain과 CXR상 확인되는 pneumomediastinum으로 보아 원인 감별 등을 위해 chest CT가 필요하다.
• 65세 남자가 3시간 전부터 시작된 윗가슴 통증으로 내원하였다.
• NSCLC stage 3B 환자로 CCRT에 의해 식도염이 의심되었던 병력이 있다. 급성 윗가슴 통증의 원인으로는 식도염의 악화, 식도염 악화에 의한 천공, 기타 pleura의 염증 등을 고려할 수 있다.
• CXR상 아래와 같이 mediastinum 쪽의 pleural line이 확인되어 pneumomediastinum으로 진단할 수 있다.
• WBC 상승, BT 37.7이 동반되므로 acute mediastinitis도 의심해볼 수 있다.
• 따라서 Chest CT를 통해 pneumomediastinum의 위치 및 원인을 확인하는 것이 중요하다.
Tip
• Amylase elevation은 급성 췌장염 외에 GI perforation, 난소암, 자궁외 임신의 파열 등에서 발생할 수 있으며, 본 증례의 경우 GI perforation이 상대적으로 가능성이 높아 보인다.
종격동 질환 정리 | ||
종격동기종 | • 임상양상: 흉통, 흉부 비빔소리(피하기종) • 진단: CXR/CT상 medial pleural line 등 • 치료: 경과관찰 + 산소 (식도/기도 파열시 수술) | |
급성 종격동염 | • 원인: 식도/기도 파열, 목/복부 감염, 수술 후 감염 • 임상양상: 흉통, 호흡곤란, 발열 • 진단: CT - 종격동기종, 기포, fluid collection • 치료: 광범위 항생제 + 배액(수술적, 내시경적, 경피적) | |
오답 선지
• 식도조영술: 식도평활근의 이완기능 부전에 의한 achalasia를 확인하거나 식도암이 의심될 시 시행하는 검사이다. 식도천공이 의심되었을 시 식도조영술은 금기이다.
• 기관지내시경검사: 기관지내시경을 통해 기관지 내의 mass를 확인할 수 있겠으나 본 증례의 핵심은 pneumomediastinum의 확인이므로 불필요하다.
• 위식도내시경검사: 위식도내시경검사를 통해 식도암 또는 위암 여부를 확인할 수 있겠으나, 본 환자는 종격동에서 발생한 pneumomediastinum 및 acute mediastinitis에 대한 확인이 필요하고 일반적으로 식도천공에서 위식도내시경은 금기이다.
• 양전자 방출단층촬영: 전이성 병변이 의심될 시 시행하는 검사로, 본 환자의 증상은 전이성 병변 때문이 아닌 식도천공으로 인한 pneumomediastinum에 의한 것으로 의심이 되므로 불필요하다.
관련 이론
• 종격동질환
• 폐암
Reference
• Harrison 21e, pp.2200-2201
• Murray & Nadel 7e, pp.1590-1617