호흡곤란

/

506

/

506

400번

[MD25]

0

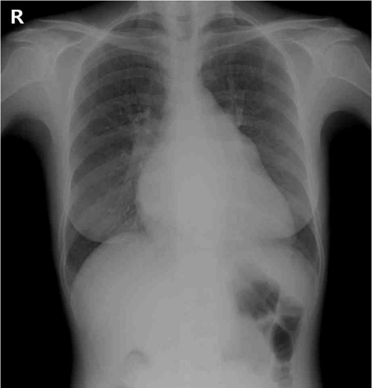
26세 여자가 2개월 전부터 숨이 차서 병원에 왔다. 계단을 오르거나 무거운 짐을 들면 증상이 심해지고 쉬면 호전된다고 한다. 혈압 104/68 mmHg, 맥박 78회/분, 호흡 18회/분, 체온 36.5 °C이다. 제1심음이 항진되어 있고 심장 끝에서 저음의 확장기 잡음이 들린다. 가슴 X선사진과 심전도이다. 심초음파검사 결과는 다음과 같다. 치료는?

좌심실 수축말기 직경 32 mm (참고치, <40)

좌심실 확장말기 직경 50 mm (참고치, <60)

좌심실 박출률 54 % (참고치, ≥55)

승모판 면적 0.9 cm² (참고치, >2.0)

대동맥판 면적 2.2 cm² (참고치, >2.0)

정답률 75%

누적 풀이 횟수 2,400+

평균 풀이 시간59초

/

나의 풀이 시간0

CC

F/26, 호흡곤란(2m)

Hx

S/Sx

운동시 호흡곤란 악화 휴식시 호전

V/S 104/68 78 18 36.5, S1 accentuation, low pitched diastolic murmur at apex

Lab

-

Img

CXR: Cardiomegaly

Echo: MV area↓

Etc

ECG: No organized P wave(f waves) at V1, irregularly irregular RR interval

Imp: 승모판 협착(mitral stenosis, MS), 심방세동(atrial fibrillation, AF)

해설

S1의 항진 apex에서 저음의 확장기 심잡음, 심초음파상 승모판 면적의 감소를 통해 MS를 진단하며 ECG에서 AF가 관찰되므로 치료를 위해 와파린을 투여한다.

• 26세 여자가 2개월 전부터 시작된 호흡곤란으로 내원하였다.

• CXR상 cardiomegaly가 확인되므로 호흡곤란의 원인은 심장성 원인임을 파악할 수 있다.

• 심음 청진상 S1의 항진심장 끝에서 low pitched diastolic murmur가 들리므로 MS를 의심할 수 있다.

• 심초음파 검사상 승모판 면적이 0.9 cm²로 크게 감소하였으며 운동 시 호흡곤란을 호소하므로 stage D, symptomatic severe MS로 진단할 수 있다.

• ECG에서 lead V1에서 no organized P wave(fibrilatory baseline)이 확인되며 나머지 lead에서도 P wave가 관찰되지 않는다. 또한 irregularly irregular RR interval을 보이므로 AF로 진단가능하다.

AF가 동반된 MS에서 anticoagulation을 위해 warfarin을 사용한다.

Tip

• Mitral valve area(MVA) ≤ 1.5cm2 이하일 경우 severe MS이다. (정상 승모판 면적 : 4~6 cm2)

MS 정리

임상양상, 검사소견

• 심첨부 mid~late diastolic murmur

• S1 항진, opening snap

• 심초음파: MV area 감소, thickening, doming, LA enlargement

치료

Warfarin

• AF, thromboembolism 과거력, LA 혈전 있음

MVA ≤ 1.5 cm2

• PMBC: 적당한 morphology + MR 없음~mild + LA 혈전 없음

• MV repair/replacement: PMBC 하지 못할 때

오답 선지

• 비타민K: 비타민 K가 부족해서 잦은 멍, 코피, 잇몸출혈등의 2차 지혈장애가 보일 경우 사용하는 치료법으로 본 환자는 항응고치료로 vitamin K antagonist인 warfarin이 필요하다.

• 아픽사반: AF의 anticoagulation으로 가능한 DOAC으로 MS에 동반된 AF에는 일반 AF와 달리 DOAC의 benefit이 입증되지 않았다.

• 항트롬빈제: decompensated liver cirrhosis, DIC 등이 있을 때 antithrombin 결핍이 확인되면 투여를 고려할 수 있는 약제로 AF가 동반된 MS의 치료로 활용하지 않는다.

• 클로피도그렐: 항혈소판제로 AF가 동반된 MS의 치료로 활용하지 않는다.

관련 이론

승모판 협착

심방세동, 심방조동

Reference

Harrison 21e, pp.1991-1995

AHA guideline, 2020

ESC guideline, 2021