호흡곤란

/

506

/

506

401번

[MD25]

0

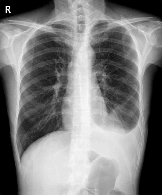
33세 남자가 1주 전부터 숨이 찬다며 병원에 왔다. 1개월 전부터 가끔씩 열이 났다고 한다. 10갑•년 흡연자이다. 혈압 110/80 mmHg, 맥박 98회/분, 호흡 24회/분, 체온 38.2 °C이다. 왼쪽 가슴에서 호흡음이 감소되어 들린다. 가슴 X선사진이다. 검사 결과는 다음과 같다. 치료는?

혈액: 혈색소 12.2 g/dL, 백혈구 9,400/mm³ (중성구 68 %)

혈소판 323,000/mm³

C반응단백질 34.4 mg/L (참고치, <10)

단백질 7.1 g/dL, 포도당 109 mg/dL

젖산탈수소효소 287 U/L (참고치, 115 ~ 221)

가슴막삼출액: 육안소견-장액성

백혈구 4,140/mm³ (중성구 8 %, 림프구 90 %, 호산구 2 %)

pH 7.3, 단백질 5.1 g/dL, 포도당 68 mg/dL

젖산탈수소효소 465 U/L

아데노신아미노기제거효소 90 IU/L

암배아항원 1.0 ng/mL

항산막대균펴바른표본 음성

결핵균중합효소사슬반응 음성

정답률 79%

누적 풀이 횟수 2,400+

평균 풀이 시간52초

/

나의 풀이 시간0

CC

M/33, 호흡곤란(1w)

Hx

흡연: 10갑년

S/Sx

간헐적 발열(1m)

V/S 110/80 98 24 38.2, decreased Lt. lung sound

Lab

CRP↑, LDH↑

Pleural fluid: Lymphocyte-dominant, LDH↑, ADA↑, AFB smear(-), TB PCR(-)

Img

CXR: Lt. pleural effusion

Etc

Imp: 결핵성 흉막염(tuberculous pleurisy)

해설

결핵성 흉수에 대한 치료로 항결핵제를 사용한다.

• 33세 남자가 1주 전부터 시작된 호흡곤란을 주호소로 내원하였다.

• 현재 발열, 빈호흡 및 왼쪽 가슴의 호흡음 감소로 보아 감염성 호흡기 질환을 의심해보아야 하며, 이외 흉수, 무기폐, 기흉 등의 가능성을 고려하여야 한다.

CXR상 Lt. pleural effusion 소견으로 흉수의 존재를 확인할 수 있으며, 흉수의 원인 확인을 위해 시행한 진단적 흉막천자 결과상 단백질 비율 5.1/7.1 > 0.5, LDH 비율 465/287 > 0.6으로 Light's criteria를 만족하므로 exudate로 판단할 수 있다. 특히 lymphocyte-dominant exudate이며 ADA > 40 IU/L로 결핵성 흉수가 강하게 의심된다.

• 한편 흉수 검체에서 시행한 AFB smear, TB-PCR은 낮은 민감도로 인해 진단적 가치가 낮으므로, 환자의 증상과 흉수검사 결과를 결부하여 판단할 때 결핵성 흉수 의심하 치료를 시작하는 것은 타당하다.

• 따라서 항결핵제를 투여한다.

Tip

• 흉수로 시행한 AFB smear, TB-PCR 등은 민감도가 낮으므로 생검과 배양 결과가 중요하다.

흉막 삼출 정리

분류/원인

Transudate: Light's criteria(-) → 심부전, 간경변, 신증후군 등

Exudate: Light's criteria(+)

임상양상

호흡곤란, 흉막성 통증(기침/심호흡에 악화)

호흡음 감소, 둔탁음

진단

1) CXR(+ decubitus) → CT, thoracentesis

2) Light's criteria: Exudate, transudate(심부전, 간경변, 신증후군 등) 구분

부폐렴성

1) 흉수: WBC↑(neutrophil↑), 그람염색/배양 양성

2) 치료: 항생제 + complicated시 흉관

결핵성

1) 흉수: WBC↑(lymphocyte↑), ADA↑

2) 치료: 항결핵제

악성

1) 흉수: 세포검사(+)

2) 치료: 암 치료 + 호흡곤란시 배액

Chylothorax

우윳빛, 흉수 TG > 110 mg/dL → 흉관 + octreotide + 영양 보충

Hemothorax

혈성, 흉수 Hct > 혈액 Hct → 흉관 (→ 색전술, 수술 고려)

오답 선지

• 항생제: 부폐렴성 흉막삼출의 경우 항생제를 사용해야 하나, 흉수의 호중구 분율이 증가하는 부페렴성 흉막삼출과 달리 위 증례는 림프구가 우세하므로 배제할 수 있다.

• 가슴관 삽입: 환자가 흉수로 인해 호흡곤란을 호소하는 경우 고려해볼 수 있으나 이 또한 항결핵제 치료 중 고려되는 것이며, 결핵성 흉수에서의 흉관 삽입은 폐기능 개선이나 흉막 비후 감소 등 장기적 결과에 도움을 주지 않으므로 항결핵제와 비교하여 우선하는 치료가 아니다.

• 항곰팡이제: 면역 저하 상태 등 진균감염에 취약한 상태가 아니며 진균 감염의 증거도 없으므로 배제할 수 있다.

• 글루코코르티코이드: 항결핵제 치료 중 스테로이드 보조요법이 고려된 바 있으나 근거가 부족하며, 스테로이드를 사용하더라도 항결핵제 치료를 대체할 수는 없다.

관련 이론

흉막 삼출

Reference

Harrison 21e, pp.2197-2200

• Murray & Nadel 7e, pp.1560-1569