호흡곤란

/

506

/

506

403번

[MD25]

0

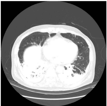
70세 남자가 4일 전부터 숨이 찬다며 병원에 왔다. 7일 전 부터 누런 가래를 동반한 기침을 한다. 1년 전 뇌경색으로 진단되어 치료를 받은 이후로 식사 때 사레가 자주 들린다고 한다. 40갑•년의 과거 흡연자이다. 혈압 120/80 mmHg, 맥박 98회/분, 호흡 24회/분, 체온 38.8°C이다. 양쪽 가슴에서 거품 소리가 들린다. 가슴 컴퓨터단층촬영 사진이다. 혈액 검사 결과는 다음과 같다. 치료는?

혈색소 13.6g/dL, 백혈구 14,800/mm3, 혈소판 240,000/mm3

혈액요소질소/크레아티닌 17/1.2 mg/dL

C반응단백질 112.3 mg/L ( 참고치, <10 )

정답률 88%

누적 풀이 횟수 2,400+

평균 풀이 시간41초

/

나의 풀이 시간0

CC

M/70, 호흡곤란(4d)

Hx

Ischemic stroke → dysphagia(1y)

흡연: 40갑년

S/Sx

화농성 가래, 기침(1d)

V/S 120/80 98 24 38.8, bilateral rale

Lab

WBC↑, CRP↑

Img

CT: Bilteral lower lobe consolidations

Etc

Imp: 흡인 폐렴(aspiration pneumonia)

해설

흡인 폐렴의 치료로 beta-lactam monotherapy를 시행한다.

• 70세 남자가 4일 전부터 시작된 호흡곤란을 주호소로 내원하였다.

• 화농성 가래, 기침, 발열 및 양쪽 가슴의 rale을 고려할 때 감염성 호흡기 질환을 의심하여야 한다.

• 1년 전 뇌경색을 진단받았으므로 누워서 생활하는 비중이 많았을 것으로 판단되며, 사레가 자주 들린다는 점에서 aspiration event가 있었음을 알 수 있다. 더불어 Chest CT상 양측 폐하부 posterior portion에 consolidation이 확인되고 혈액검사상 leukocytosis, CRP 상승 등 감염을 시사하는 소견으로 보아 흡인성 폐렴을 진단할 수 있다.

폐렴의 치료는 경험적 항생제이며, 비정형 폐렴이 의심되지 않는 이상 respiratory fluoroquinolone, beta-lactam 단독투여가 권고된다.

• 따라서 가장 적절한 항생제는 beta-lactam 항생제 암피실린-설박탐이다.

Tip

폐렴 정리

위험요인

• 치매/뇌졸중/의식저하 → 흡인 → G(-) rod

• 알코올중독: S. pneumoniae, K. pneumoniae

임상양상

• 발열, 기침, 가래(주로 화농성), 호흡곤란

• 수포음

검사소견

• WBC, CRP, ESR 상승

진단

• 객담 그람염색 + 배양

• 소변항원검사: S. pneumoniae, Legionella

치료

외래, 일반병동 입원

• β-lactam or respiratory fluoroquinolone 단독투여

중환자실

• β-lactam + (fluoroquinolone or azithromycin) 병용투여

비정형 폐렴 의심

• β-lactam + macrolide 병용투여

• Respiratory fluoroquinolone 단독투여

오답 선지

• 아시클로버: HSV에 의한 폐렴은 매우 드물게 발생하며 주로 면역저하자나 오랫동안 intubation을 하고 있는 환자 등에서 발생한다. 해당 환자의 경우 병력과 영상 소견이 흡인 폐렴과 부합하므로 아시클로버를 초기 치료로 사용하는 것은 부적절하다.

• 플루코나졸: 진균 감염은 주로 면역저하자에서 발생하며 기타 진균 감염을 의심할만한 소견이 주어지지 않았으므로 배제할 수 있다.

• 아지트로마이신: Macrolide계열 항생제로 경험적 치료제로 사용 가능하나 beta-lactam과의 병용투여가 권고되며 단독치료로는 사용되지 않는다.

• 스트렙토마이신: 아미노글리코시드 계열 항생제는 폐렴의 경험적 항생제로 권고되지 않는다.

관련 이론

폐렴

Reference

Harrison 21e, pp.1009-1020

ATS guideline, 2019

대한감염학회 가이드라인, 2017