호흡곤란

/

506

/

506

419번

[MD25]

0

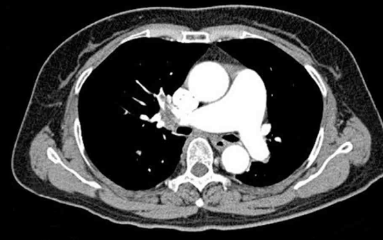
62세 여자가 3시간 전부터 갑자기 숨이 차고 가슴이 답답하여 응급실에 왔다. 통증은 기침할 때 심해진다. 5년 전부터 만성콩팥병이 진단되어 정기로 진료를 받고 있다. 혈압 110/70 mmHg, 맥박 100/분, 호흡 18회/분, 체온 36°C이다. 혈액검사 결과는 다음과 같다. 가슴 컴퓨터단층촬영과 심전도이다. 치료는?

혈색소 13.2 g/dL, 백혈구 4,200/mm3, 혈소판 245,000/mm3

혈액요소질소/크레아티닌 36/4.8 mg/dL

트로포닌 T 25 ng/L (참고치, <14)

뇌나트륨배설펩타이드 1,408 pg/mL (참고치, <100)

정답률 87%

누적 풀이 횟수 2,200+

평균 풀이 시간45초

/

나의 풀이 시간0

CC

F/62, 호흡곤란/흉통(3h)

Hx

CKD on med(5y)

S/Sx

흉통: 기침 시 악화

V/S 110/70 100 18 36

Lab

BUN/Cr↑, TnT↑, BNP↑

Img

CT: Rt. pulmonary a. thrombosis

Etc

ECG: Left axis deviation

Imp: 폐색전증(pulmonary thromboembolism, PTE)

해설

환자의 V/S stable하고 항응고제 사용의 금기에 해당하는 바가 없으므로 치료로 헤파린을 사용한다.

• 62세 여자가 3시간 전부터 시작된 호흡곤란 및 흉통을 주호소로 내원하였다.

• 통증은 기침할 때 악화하는 흉막성 통증의 양상이므로 기흉, 흉막 삼출, 폐색전증 등을 의심해보아야 하며, 5년 전부터 CKD로 진료를 받고 있다는 점에서 혈전 생성의 위험인자를 가지고 있음을 알 수 있다.

• 혈액 검사상 TnT, BNP가 상승되어 있으나 ECG상 심근 허혈을 의심할만한 소견이 관찰되지 않으며, 심근 허혈이 원인일 경우 현재 환자가 호소하는 흉막성 통증의 양상과도 부합하지 않는다.

Chest CT상 폐동맥 혈전이 저명하게 관찰되므로 호흡곤란의 원인을 폐색전증으로 진단할 수 있다.

• 현재 환자의 V/S stable하고 항응고제 사용의 금기에 해당하는 바가 없으므로 치료로 헤파린을 사용한다.

Tip

오답 선지

• 아스피린, 프라수그렐, 티카그렐로, 클로피도그렐: 항혈소판제로 폐색전증의 치료에 1차적으로 사용되지 않는다.

관련 이론

폐색전증

Reference

Harrison 21e, pp.2091-2101

ESC guideline, 2019