426번
[임종평23-1]
0
56세 여자가 3일 전부터 숨이 찬다며 응급실에 왔다. 1개월 전 허리 통증으로 수술을 받은 뒤 거동이 어려워 집에서 누워 있다고 한다. 2주 전부터는 왼쪽 다리가 붓고 종아리가 당기는 듯이 아팠다고 한다. 혈압 80/56 mmHg, 맥박102회/분, 호흡 24회/분, 체온 36.5℃이다. 가슴 청진에서 심음과 호흡음은 정상이다. 가슴 컴퓨터단층촬영 사진이다. 진단은?

정답률 89%
누적 풀이 횟수 1,700+
평균 풀이 시간15초
/
나의 풀이 시간0초
CC | F/56, 호흡곤란(3d) |
Hx | Lumbar pain s/p op, bed rest(1m) |
S/Sx | 좌측 다리 붓기/통증(2w) V/S 80/56 102 24 36.5 |
Lab | |
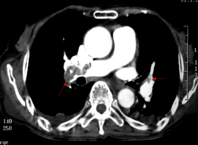
Img | CT: Thrombus at both pulmonary arteries |
Etc |
Imp: 폐색전증(pulmonary thromboembolism, PTE)
해설
급성 호흡곤란, bed rest의 과거력, DVT로 추정되는 하지 통증, CT 소견으로 보아 PTE로 진단한다.
• 56세 여자가 3일 전 시작된 호흡곤란을 주호소로 내원했다.
• 1개월 동안 와상 생활 중이었으며, 급성 호흡곤란을 호소하고 있으므로 PTE를 반드시 의심해야 한다. 좌측 다리 붓기 및 당기는 듯한 통증은 심부정맥혈전증(deep vein thrombosis, DVT)을 시사하는데, 이는 PTE의 직접적인 원인이 된다.
• CT상 pulmonary artery 내부에 저음영으로 나타나는 thrombus가 multifocal하게 확인된다. 따라서 PTE로 진단한다.
Tip
폐색전증 정리 | |
위험요인 | • 전신마취 수술, 고관절/슬관절 수술 • 장기간 bed rest |
임상양상 | • 급성 호흡곤란, 흉통, 객혈 |
검사소견 | • D-dimer: 상승 |
진단 | • CT, 폐환기관류스캔 → 심초음파(RV 기능 평가) |
치료 | • V/S stable: 항응고제 or IVC filter • V/S unstable: t-PA + 항응고제 or embolectomy |
예방 | • 항응고제, 공기압박장치(항응고제 금기 시) |
오답 선지
• 대동맥박리(aortic dissection, AD): CT상 ascending, descending aorta에 flap 및 false lumen이 확인되지 않는다.
• 패혈색전증(septic embolism): 감염성 심내막염 등에 의해 혈액 내 septic component가 embolism되어 pulmonary artery를 막는 것을 의미한다. 본 증례는 발열 등 감염성 질환을 시사할 만한 소견이 저명하지 않다.
• 대동맥벽내혈종(aortic intramural hematoma, INH): Aorta의 벽 내부에 hematoma가 생기는 질환으로, 본 증례에서 주어진 CT cut상 aortic wall은 uniform하므로 배제할 수 있다.
• 폐동맥혈관육종(pulmonary artery angiosarcoma): Angiosarcoma가 vessel 내부로 자라 들어갈 경우 PTE와 유사한 소견으로 나타날 수 있으나, 유병률이 훨씬 낮으며 본 증례의 전반적 임상양상이 PTE에 더 가깝다.
관련 이론
• 폐색전증
Reference
• Harrison 21e, pp.2091-2101