449번
[임종평23-2]
0
68세 여자가 2일 전부터 숨이 찬다며 병원에 왔다. 2층까지 걸어 올라가기가 어렵다고 한다. 기침이나 가래는 없다. 20갑·년의 과거흡연자이다. 2개월 전에 오른쪽 넓적다리뼈 골절로 수술한 병력이 있다. 혈압 130/80 mmHg, 맥박 110회/분, 호흡 20회/분, 체온 36.5℃이다. 호흡음과 심음은 정상으로 들린다. 폐기능 검사 결과는 다음과 같다. 가슴 X선사진과 조영증강 가슴 컴퓨터단층촬영 사진이다. 진단은?
강제폐활량(FVC): 정상 예측치의 82%
1초간 강제날숨량(FEV1): 정상 예측치의 80%
1초간 강제날숨량(FEV1)/강제폐활량(FVC): 72%


정답률 95%
누적 풀이 횟수 1,600+
평균 풀이 시간32초
/
나의 풀이 시간0초
CC | F/68, 호흡곤란(2d) |
Hx | 흡연: 20갑년, ex-smoker 2개월 전: Rt. femur Fx s/p op |
S/Sx | DOE V/S 130/80 110 20 36.5 |
Lab | |
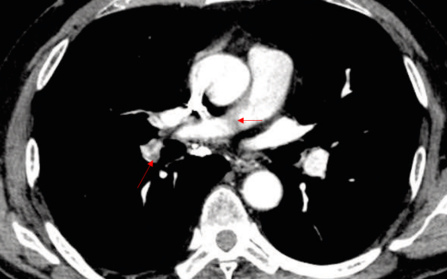
Img | CXR: No remarkable findings CT: Filling defects possibly at Rt. main and lobar pulmonary artery |
Etc | PFT: No remarkable findings |
Imp: 폐색전증(pulmonary thromboembolism, PTE)
해설
최근 femur 골절 및 수술력이 있는 급성 호흡곤란 환자의 CT상 pulmonary artery 내부에 filling defect가 관찰되므로 PTE로 진단한다.
• 68세 여자가 2일 전 시작된 호흡곤란을 주호소로 내원했다.
• DOE 양상이며, 기타 호흡기 증상, 발열은 없다.
• 2개월 전 femur Fx가 있었으며 이로 인해 수술을 받은 이력이 있다. 수술 후 수 일간 bed rest를 했을 것으로 짐작되며, 회복 후에도 이전과 같이 활동적인 ambulation은 어려었을 것으로 추정할 수 있다. 외상성 골절 및 수술력이 있는 환자에게 급성 호흡곤란이 발생할 경우 PTE를 반드시 의심해야 한다.
• CXR, PFT상 특이사항이 확인되지 않으므로 여러 기타 호흡기 질환들을 배제할 수 있다.
• PTE 진단의 1st line은 pulmonary artery 내부를 조영증강하는 CT angiography이다. CT상 Rt. main 및 lobar pulmonary artery에 어두운 filling defect가 확인되는데, 상기 임상양상과 종합할 때 thrombus일 가능성이 매우 높다.
• 따라서 PTE로 진단한다.
Tip
폐색전증 정리 | |
위험요인 | • 전신마취 수술, 고관절/슬관절 수술 • 장기간 bed rest |
임상양상 | • 급성 호흡곤란, 흉통, 객혈 |
검사소견 | • D-dimer: 상승 |
진단 | • CT, 폐환기관류스캔 → 심초음파(RV 기능 평가) |
치료 | • V/S stable: 항응고제 or IVC filter • V/S unstable: t-PA + 항응고제 or embolectomy |
예방 | • 항응고제, 공기압박장치(항응고제 금기 시) |
오답 선지
• 폐암(lung cancer): 호흡곤란을 일으킬 정도의 폐암은 보통 CXR 및 CT에서 충분히 확인 가능하며, 기침, 객혈 등의 증상이 흔히 동반된다.
• 폐결핵(pulmonary tuberculosis): 호흡곤란을 일으킬 정도의 active TB는 보통 CXR 및 CT에서 충분히 확인 가능하며, 만성 기침, 미열, 발한, 체중감소 등의 증상이 흔히 동반된다.
• 사코이드증(sarcoidosis): 만성적인 granulomatous disease로, CXR 및 CT상 hilar lymphadenopathy가 주요 영상소견이다.
• 만성폐쇄폐질환(chronic obstructive pulmonary disease, COPD): PFT상 FVC에 비해 FEV1이 감소하는 obstructive lung disease 양상을 보인다.
관련 이론
• 폐색전증
Reference
• Harrison 21e, pp.2091-2101