20번
[MD22]
0
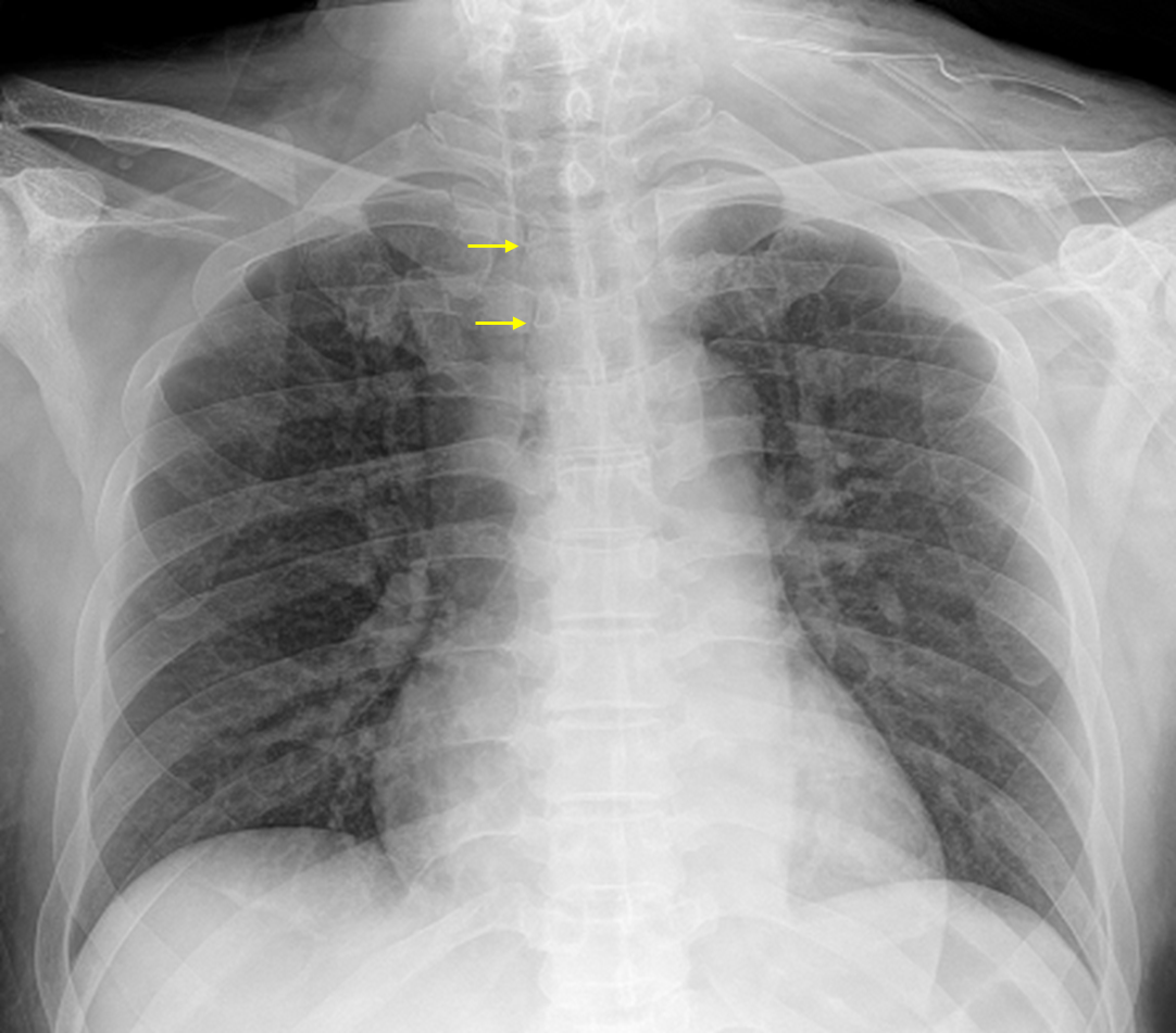
54세 남자가 3일 전부터 가슴과 목이 아파서 병원에 왔다. 7일 전 심한 구토 이후 입안과 목 부위가 아프고 침을 삼킬 때 불편했다고 한다. 비흡연자이다. 혈압 114/70 mmHg, 맥박 86회/분, 호흡 18회/분, 체온 38.1℃이다. 앞 목은 부어 있고 누르면 아파하였다. 가슴 청진에서 호흡음은 정상이다. 가슴 X선사진과 가슴 컴퓨터단층촬영 사진이다. 혈액검사 결과는 다음과 같다. 진단은?
혈색소 13.4 g/dL, 백혈구 11,300/mm3 (중성구 80%), 혈소판 320,000/mm3, C-반응단백질 22.8 mg/L (참고치, <10)



정답률 70%
누적 풀이 횟수 1,400+
평균 풀이 시간37초
/
나의 풀이 시간0초
CC | M/54, 흉통/목통증(3d) |
Hx | 심한 구토(7d) → 입안/목 통증 & 침 삼킬 때 불편감 / 비흡연자 |
S/Sx | V/S 114/70 86 18 38.1, 앞목 부종/압통(+/+), 호흡음 정상 |
Lab | WBC↑, CRP↑ |
Img | CXR: Rt. paratracheal hypolucency, suggesting pneumomediastinum CT: Mediastinal inflammation, gas bubbles |
Etc |
Imp: 급성 종격동염(acute mediastinitis)
해설
• 54세 남자가 3일 전 시작된 목과 가슴의 통증을 주호소로 내원했다.
• 7일 전 심한 구토를 한 이후 증상이 시작되었는데, 심한 구토는 식도 파열 등을 일으켜 종격동에 세균성 염증이 생길 수 있는 환경을 조성할 수 있다.
• 앞목에 부종과 압통이 있으므로 급성 종격동염을 더욱 의심할 수 있으며, 발열과 leukocytosis, CRP 증가는 감염이 발생했음을 시사한다.
• CXR상 trachea 우측에 air로 추정되는 저음영이 관찰되는데, 이는 pneumomediastinum을 시사한다. 식도 파열에 의해 pneumomediastinum이 발생할 수 있다. 양쪽 폐실질에는 특이사항이 없으나 CT에서 종격동에 염증에 의한 것으로 보이는 fluid collection과 gas bubble이 보이기 때문에 급성 종격동염으로 진단할 수 있다.
Tip
종격동 질환 정리 | ||
종격동 종괴 | 전방 | • 가슴샘종양(thymoma, 흉선종) - 중증근무력증 동반 가능 → 수술적 절제 (+ CTx/RTx) • 생식세포종양(germ cell tumor) - 기형종(teratoma): CT상 fat + calcification → 수술적 절제 |
중앙 | • LN 비대, bronchogenic/pericardial cyst | |
후방 | • Neurogenic tumor | |
종격동기종 | • 임상양상: 흉통, 흉부 비빔소리(피하기종) • 진단: CXR/CT상 medial pleural line 등 • 치료: 경과관찰 + 산소 (식도/기도 파열시 수술) | |
급성 종격동염 | • 원인: 식도/기도 파열, 목/복부 감염, 수술 후 감염 • 임상양상: 흉통, 호흡곤란, 발열 • 진단: CT - 종격동기종, 기포, fluid collection • 치료: 광범위 항생제 + 배액(수술적, 내시경적, 경피적) | |
오답 선지
• 폐렴: 본 증레의 경우 폐실질에 consolidation, GGO 등의 병변이 보이지 않으므로 배제한다.
• 폐고름집: 본 증례의 경우 폐실질에 농양이 보이지 않으므로 배제한다.
• 공기가슴증: CXR상 pleural line이 보이며, pleural line 바깥쪽에 vascular marking이 소실된다.
• 세로칸기종: 세로칸에 air가 일부 보이기는 하지만 일반적인 세로칸기종에서는 발열, WBC/CRP 상승 등이 관찰되지 않으므로 본 증례에는 세로칸염이 더 적절한 진단명이다.
관련 이론
• 종격동 질환
Reference
• Harrison 21e, pp.2200-2201
• Murray & Nadel 7e, pp.1590-1617