23번
[MD21]
0
52세 여자가 2일 전부터 가슴이 답답하고 불안하다며 병원에 왔다. 2일 전 저녁에 남편과 가벼운 말다툼을 한 후부터 가슴이 답답해지기 시작했고 다음 날 아침에도 답답함이 가시지 않았다고 한다. 난소암으로 항암치료를 받는 중이다. 비흡연자이다. 혈압 124/88 mmHg, 맥박 88회/분, 호흡 20회/분, 체온 37.2°C이다. 가슴 청진에서 심음과 호흡음은 정상이다. 대기호흡에서 맥박산소포화도는 97%이다. 가슴 X선사진과 가슴 컴퓨터단층촬영 사진이다. 검사 결과는 다음과 같다. 치료는?
혈액: 혈색소 12.4 g/dL, 백혈구 4,300/mm3 (중성구 62%, 림프구 31%), 혈소판 264,000/mm3, 뇌나트륨이뇨펩티드 70 ng/L (참고치, <100)
폐기능검사: 강제폐활량(FVC): 정상 예측치의 98%, 1초간 강제날숨량(FEV1): 정상 예측치의 103%


정답률 77%
누적 풀이 횟수 1,100+
평균 풀이 시간49초
/
나의 풀이 시간0초
CC | F/52, 흉부 불편감 (2d) |
Hx | 난소암으로 항암치료중 비흡연자 |
S/Sx | 2일 전 말다툼 후 흉부 불편감 / BT 37.2 |
Lab | |
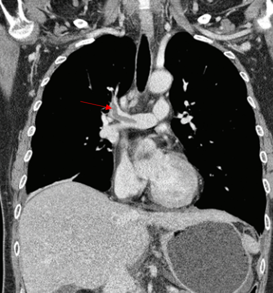
Img | CXR: 특이 소견 없음 CT: 우폐동맥 혈전 |
Etc | PFT 정상 |
Imp: 폐색전증(pulmonary thromboembolism, PTE)
해설
급성 호흡곤란, CT상 혈전이 있으므로 PTE 진단 하, V/S이 stable하므로 rivaroxaban을 이용해 anticoagulation을 시행한다.
• 52세 여자가 2일 전부터 시작된 흉부 불편감으로 내원하였다.
• 종양은 PTE의 위험인자 중 하나고, 단독으로 흉부 불편감이 있으므로 폐색전증의 가능성을 생각해볼 수 있는데, CT에서 우폐동맥 혈전이 보이므로 폐색전증으로 진단할 수 있다.
• V/S이 안정적이므로 항응고치료를 진행한다. 보기 중에서는 DOAC에 해당하는 리바록사반을 사용한다.
Tip
• 종양성 질환은 DVT/PTE의 위험인자 중 하나이다.
관련 이론
• 폐색전증
Reference
• Harrison 21e, pp.2091-2101