105번
[임종평24-1]
0
72세 남자가 2주 전부터 구역과 구토가 심해져서 응급실에 왔다. 3개월 전부터는 소화가 잘 안되었으며 체중이 4 kg 감소했다고 한다. 술은 마시지 않으며, 20갑·년의 흡연력이 있다. 혈압 112/75 mmHg, 맥박 80회/분, 호흡 20회/분, 체온 36.5 ℃이다. 결막은 창백하며, 복부 진찰에서 복부 압통은 없다. 혈액검사 결과는 다음과 같다. 식도위내시경 사진과 복부 컴퓨터단층촬영 사진이다. 처치는?
백혈구 10,200/mm3, 혈색소 7.4 g/dL, 혈소판 221,000/mm3
혈액요소질소/크레아티닌 34.7/0.9 mg/dL
아스파트산아미노기전달효소 32 U/L
알라닌아미노기전달효소 36 U/L
총빌리루빈 0.3 mg/dL, 알부민 3.3 g/dL


정답률 48%
누적 풀이 횟수 2,700+
평균 풀이 시간60초
/
나의 풀이 시간0초
CC | M/72, 구역/구토(2w) |
Hx | 흡연: 20갑년 |
S/Sx | 소화불량(3m), 체중감소(-4kg/3m) V/S 112/75 82 20 36.5, pale conjunctiva, dT(-) |
Lab | Hb↓, BUN↑ |
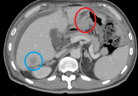
Img | CT: Distal stomach obstruction, liver hypoattenuated nodule (r/o metastasis) |
Etc | EGD: Ulcerative lesion at lesser curvature, r/o adenocarcinoma |
Imp: 위암(stomach cancer), possibly stage IV
해설
임상양상과 EGD로 보아 위암이 의심되는데, CT상 obstruction과 metastasis로 보이는 소견이 있으므로 palliative 목적의 stent 삽입이 필요하다.
• 72세 남자가 2주 전 시작된 구역, 구토를 주호소로 내원했다.
• 고령 환자에서 소화불량, 체중감소가 있으므로 malignancy 감별이 반드시 필요한데, EGD상 ulcerative lesion이 확인되므로 위암이 매우 의심된다. 창백한 결막과 낮은 Hb, 높은 BUN은 해당 ulcer로 인한 GI bleeding으로 인한 것으로 추정된다.
• 아직 병리적 확진이 없지만 staging을 위해 시행한 CT에서 distal stomach의 심한 obstruction과 간에 metastasis로 추정되는 nodule이 하나 확인되고, ascites도 보인다. Metastasis 소견이 있으므로 distal gastrectomy, tTotal gastrectomy와 같은 근치적 목적의 수술적 치료를 시행할 수 없다고 판단된다. 따라서, 근치적 목적의 치료보다는 obstruction을 palliative하게 해결할 수 있는 위스텐트삽입이 적절하다.
• 빨간색 원 부분에서 distal stomach obstruction을 확인할 수 있으며, 파란색 원을 통해 간으로의 전이를 의심해 볼 수 있다.
Tip
위암 정리 | |
임상양상 | • 체중감소, 복통, 속쓰림, 토혈 • 구토, 복부팽만 등 • Lt. supraclavicular LN 촉진, 복수 등 → 전이 시사 |
진단 | • 위암 확인: EGD + biopsy • 병기 설정: CT + EUS (+ PET-CT) |
치료 | • ESD: Mucosa 국한, ≤ 2cm, 고~중등도 분화 등 • 수술: ESD 시행 불가 & 원격전이/혈관침범 없음 - Distal 2/3: Distal gastrectomy - Proximal 1/3: Total gastrectomy - Neoadjuvant or adjuvant CTx 대부분 시행 • 고식적 치료: 폐쇄시 stent 삽입 |
오답 선지
• 위전절제술, 위아전절제술: 원격전이/혈관침범이 없는 위암이 있을 때 시행한다.
• 피부경유배액술: 주로 abscess나 obstructed bile 등을 배액할 때 사용되는 시술이다.
• 피부경유내시경위창냄술(percutaneous endoscopic gastrostomy, PEG): 입으로 식사하지 못하지만 장기적으로 장관영양을 공급해야 하는 환자에게 시행하는 시술로, 본 증례의 경우 이미 distal stomach obstruction이 있기 때문에 의미가 없다.
관련 이론
• 위암
Reference
• Harrison 21e, pp.629-633