233번
[임종평20-2]
0
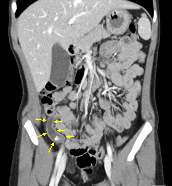
10세 남아가 1일 전에 발생한 복통으로 병원에 왔다. 어제 오후부터 배꼽 주위에 복통이 생겼다. 속이 불편해서 밥을 평소보다 적게 먹었으며, 오늘은 오른쪽 아랫배가 아프고 한 번 토했다고 한다. 혈압 110/74 mmHg, 맥박 110회/분, 호흡 24회/분, 체온 36.8℃이다. 배 진찰에서 장음은 정상이나, 오른쪽 아랫배에 복부강직, 압통과 반발통이 있다. 복부 컴퓨터단층촬영 사진이다. 혈액검사 결과는 다음과 같다. 진단은?
백혈구 19,800/mm3 (중성구 92.0%, 림프구 3.0%, 호산구 0.0%), 혈색소 13.9 g/dL, 혈소판 389,000/mm3, C-반응단백질 20 mg/L (참고치, <10), 아스파르테이트아미노전달효소 32 U/L, 알라닌아미노전달효소 24 U/L, 총단백질/알부민 7.3/4.9 g/dL

정답률 99%
누적 풀이 횟수 500+
평균 풀이 시간26초
/
나의 풀이 시간0초
CC | M/10, 복통(1d) |
Hx | |
S/Sx | 어제 오후부터 배꼽 주위 복통, 복부 불편감과 식사량 감소, 오른쪽 아랫배 통증과 구토 V/S 110/74 110 24 36.8 복부강직, 압통/반동압통 (+/+) |
Lab | 백혈구 19,800/mm3 |
Img | CT: 결석을 동반한 막창자꼬리염 소견 |
Etc |
Imp: 충수돌기염(appendicitis)
해설
• 1일 전부터 갑자기 시작된 복통과 복통의 위치가 배꼽 주위에서 오른쪽 아랫배로 이동했다는 점, 구토, 복부강직, 압통 및 반동압통 등 증상으로 보아 충수돌기염이 강력히 의심된다.
• CT에서 appendicolith를 동반한 충수돌기염 소견이 있어 확진할 수 있다.
Tip
충수돌기염 정리 | |
임상양상 | • 급성 복통: 배꼽 주위 → RLQ로 이동 • RLQ 압통/반동압통 • 발열, 복부덩이: 천공 시사 |
진단 | • 복부 CT: 충수돌기 distension, wall thickening • 초음파: 충수돌기 지름 > 7mm |
치료 | • 농양 X: 충수돌기절제술 • 농양 O: 항생제 + 배액 → 6~8주 후 interval appendectomy |
관련 이론
• 충수돌기염
Reference
• Sabiston 21e, pp.1301-1315