285번
[임종평19-2]
0
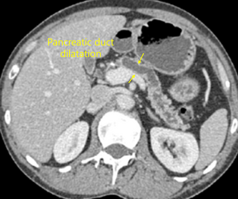
55세 남자가 3개월 전부터 윗배가 아파서 병원에 왔다. 당뇨병으로 치료 중이고 20년간 거의 매일 소주 1병씩 마셨으며 30갑·년의 흡연자이다. 혈압 135/90mmHg, 맥박 70회/분, 호흡 18회/분, 체온 36.3℃이다. 배는 편평하고 장음은 정상이다. 압통이나 반동압통은 없다. 혈액검사 결과는 다음과 같다. 복부 컴퓨터단층촬영 사진이다. 진단은?
백혈구 8,200/mm3, 혈색소 11.3g/dL, 혈소판 165,000/mm3, 아스파르테이트아미노전달효소 92U/L, 알라닌아미노전달효소 60U/L, 알칼리인산분해효소 125U/L, 감마글루타밀전달효소 220U/L, 아밀라아제 110U/L, 리파제 18U/L, HBsAg(+), anti-HBs(-), anti-HCV(-), HBV DNA(-), 암항원(CA) 19-9 32U/mL(참고치, <37), 알파태아단백질 5.2ng/mL(참고치, <8.5)

정답률 79%
누적 풀이 횟수 700+
평균 풀이 시간56초
/
나의 풀이 시간0초
CC | M/55, 상복부 통증(3mo) |
Hx | 당뇨병으로 치료 중, 흡연력 30갑년, 음주력 20년간 소주 1병/일 |
S/Sx | V/S 135/90mmHg–70회/분–18회/분–36.3℃ |
Lab | Hb↓, AST/ALT↑, ALP/GGT↑, HBsAg(+) |
Img | CT: 췌관의 불규칙한 확장 |
Etc |
Imp: 만성 췌장염
해설
만성적인 상복부 통증, 당뇨, 음주력, 흡연력으로부터 만성 췌장염을 의심할 수 있고, CT 상 췌관 확장 소견도 만성 췌장염의 진단에 도움이 된다.
Tip
만성 췌장염 정리 | |
원인 | • 알코올, 반복적인 급성 췌장염 등 |
임상양상 | • 복통: 상복부, 등으로 방사통, 누우면 심해짐 • 설사, 지방변, 체중감소 |
검사소견 | • 대변: Fecal elastase-1 감소, Sudan III에 붉은색으로 염색되는 fat droplet • AXR/CT: Pancreas calcification |
치료 | • 진통제, 췌장효소제 |
오답 선지
• 쓸개암, 이자암, 간세포암: AFP, CA19-9가 정상이므로 간세포암, 이자암, 담낭암의 가능성은 낮다.
• 만성쓸개염: 만성 담낭염에서도 상복부 통증이 나타나나 환자의 과거력 및 CT 소견은 만성 췌장염에 더 잘 부합한다.
관련 이론
• 만성 췌장염
Reference
• Harrison 21e, pp.2664-2668