복통

/

460

/

460

356번

[MD25]

0

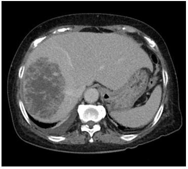
54세 남자가 1개월 전부터 오른쪽 윗배가 불편해서 병원에 왔다. 2년 전부터 수차례 고름담도염으로 항생제 치료를 받았다고 한다. 최근 3개월 동안 체중이 7 kg 줄었다. 혈압 110/60 mmHg, 맥박 80회/분, 호흡 14회/분, 체온 36.5°C이다. 배에 압통과 반발압통은 없다. 혈액검사 결과는 다음과 같다. 복부 컴퓨터단층촬영 사진에서 주변 조직 침범이나 원격 전이는 관찰되지 않는다. 치료는?

혈색소 14.5 g/dL, 백혈구 8,500/mm3

혈소판 155,000/mm3

총빌리루빈 0.6 mg/dl, 알칼리성인산염분해효소 157 U/L

아스파트산아미노기전달효소 35 U/L

알라닌아미노기전달효소 34 U/L

알파태아단백질 3.2 ng/mL (참고치, <5)

암배아항원 3.3 ng/mL (참고치, <5)

CA 19-9 230.0 U/mL (참고치, <37)

정답률 65%

누적 풀이 횟수 2,000+

평균 풀이 시간52초

/

나의 풀이 시간0

CC

M/54, RUQ불편감(1m)

Hx

반복적인 고름담도염(2y, 항생제 치료)

S/Sx

체중감소(-7kg/3m)

V/S 110/60 80 14 36.5, dT/rt(-/-)

Lab

CA 19-9↑

Img

CT: Irregularly marginated mass with hyperattenuating rim and hypoattenuating center

Etc

Imp: 간내담관암(intrahepatic cholangiocarcinoma)

해설

원격 전이가 없는 간내 담관암의 수술로 간절제술을 시행한다.

• 54세 남자가 1개월 전부터 시작된 우상복부 불편감을 주호소로 내원하였다.

• 환자는 2년 전부터 여러 차례 담도염으로 항생제 치료를 받은 병력이 있으며, 증상이 우상복부에 국한되어 나타나는 점을 고려할 때 간담도계 질환의 가능성이 높다.

• 최근 3개월간 7kg의 체중감소가 있었으므로, 반드시 악성 종양 가능성을 염두에 두어야 한다.

• 현재 발열, 빈호흡, 빈맥 등의 전신 증상이 없고 압통 및 반발압통 소견도 관찰되지 않아, 재발성 담도염, 담낭염, 농양 등 염증성 질환의 가능성은 낮을 것으로 판단된다.

• 혈액검사에서 ALP 상승CA 19-9 증가가 관찰되었으며, 이는 종양으로 인한 담도 폐쇄 가능성을 시사한다.

• 자세한 평가를 위해 시행한 CT 영상에서 경계가 불규칙하고, 고음영의 경계저음영의 내부를 가진 거대한 종괴가 간에서 관찰되었다. 간 내 발생한 종괴의 경우 간세포암, 간내담관암과 같은 악성 종양, 또는 간혈관종, 간낭종과 같은 양성 종양을 고려해야 한다.

• 환자의 체중 감소와 CT 소견을 바탕으로 악성 종양 가능성이 강하게 의심되며, 혈액검사에서 AFP, ALT, AST 수치가 정상 범위에 있는 점으로 미루어 간세포암 가능성은 낮다. 영상 소견 및 혈액검사 결과를 종합할 때 간내 담관암으로 판단할 수 있다.

• 현재 주변 조직 침범이나 원격 전이가 관찰되지 않아 수술적 치료가 가능한 상태로 보인다. 간내 담관암의 표준 치료법은 간절제술이다.

Tip

• 담관암 술식

오답 선지

• 간이식: 간세포암에서 밀란 척도를 만족하는 경우 시행할 수 있다.

• 피부경유배액: 간농양에서 사용할 수 있으나, 해당 환자의 경우 발열, 백혈구증가증 등 염증을 시사하는 소견이 없으므로 간농양의 가능성은 낮다.

• 간동맥색전술: 간세포암에 의한 출혈 합병증에서 사용할 수 있으며, TACE/TARE 등은 간절제나 간이식이 불가한 환자에서 사용할 수 있다.

• 고주파열치료: 간세포암에서 종양 개수 < 3개 and 크기 ≤ 3cm인 경우 사용할 수 있다.

관련 이론

담관암

Reference

Sabiston 21e, pp.1514-1518

한국간담췌외과학회 가이드라인, 2023