복통

/

460

/

460

365번

[MD25]

0

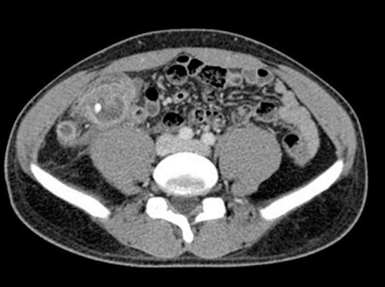
35세 남자가 8일 전부터 배가 아파서 병원에 왔다. 3일 전부터 아랫배에서 덩이가 만져진다고 한다. 혈압 130/70 mmHg, 맥박 100회/분, 호흡 22회/분, 체온 38.1°C이다. 오른쪽 아랫배에서 어린이 주먹 크기의 덩이가 만져지고, 오른쪽 아랫배에 압통과 반동압통이 있다. 혈액검사 결과는 다음과 같다. 복부 컴퓨터단층촬영 사진이다. 진단은?

혈색소 13.5 g/dL, 백혈구 18,900/mm3, 혈소판 320,000/mm3

총빌리루빈 1.3 mg/dL

아스파트산아미노기전달효소 40 U/L

알라닌아미노기전달효소 35 U/L

C반응단백질 175mg/L (참고치, <10)

암배아항원 1.7 ng/mL (참고치, <5)

CA 19-9 29.4 U/mL (참고치, <37)

정답률 87%

누적 풀이 횟수 1,800+

평균 풀이 시간39초

/

나의 풀이 시간0

CC

M/35, 복통(8d)

Hx

3일 전부터 아랫배에서 덩이가 만져짐

S/Sx

복부덩이(3d, 하복부)

V/S 130/70 100 22 38.1, RLQ dT/rT(+/-)

Lab

CRP↑, WBC↑

Img

CT: Fluid collection and inflammatory change in appendix, appendicolith

Etc

Imp: 충수주위고름집(periappendiceal abscess)

해설

치료 받지 않은 막창자꼬리염 환자에서 CT상 농양이 확인되므로 충수주위고름집을 진단할 수 있다.

• 35세 남자가 8일 전부터 시작된 복통을 주호소로 내원하였다.

• 3일 전부터는 오른쪽 아랫배에서 어린이 주먹 크기의 덩이가 만져진다고 하며, 급성으로 형성된 덩이이므로 고형 성분보다는 액체 저류로 인해 생성된 덩이일 가능성이 높다.

• 오른 아랫배에 압통과 반동압통 등 염증이 복막을 자극하는 소견이 관찰되며, 혈액검사에서 CRP 상승, 혈액검사상 백혈구 증가가 관찰되므로 염증성 질환이 강하게 의심된다. 특히 나이가 젊고 증상의 위치가 우하복부임을 고려할 때 막창자꼬리에 발생한 염증의 가능성을 우선적으로 고려해보아야 한다.

• 복부 CT에서 막창자꼬리 부위에 염증성 변화를 동반한 액체 저류와 appendicolith가 관찰된다. 막창자꼬리염은 3일 이내 수술받지 않으면 파열될 가능성이 높으며, 터지게 된다면 고름이 고여 농양을 형성하거나 복막염으로 진행할 수 있다.

• 따라서 해당 소견을 종합하여 볼 때 8일 전 급성 막창자꼬리염이 발생하였으나 적절한 시기에 치료받지 못하여 천공이 생겼고, 이로 인해 고름이 고여서 충수주위고름집을 형성한 것으로 판단할 수 있다.

Tip

충수돌기염 정리

임상양상

• 급성 복통: 배꼽 주위 → RLQ로 이동

• RLQ 압통/반동압통

• 발열, 복부덩이: 천공 시사

진단

• 복부 CT: 충수돌기 distension, wall thickening

• 초음파: 충수돌기 지름 > 7mm

치료

• 농양 X: 충수돌기절제술

• 농양 O: 항생제 + 배액 → 6~8주 후 interval appendectomy

오답 선지

• 장중첩증: 성인의 장충첩증은 매우 드물게 나타나며 대부분의 케이스에서 종양과 같이 장중첩을 일으킬 수 있는 lead point가 존재한다. 해당 증례는 CT상 장중첩증을 일으킬만한 lead point가 발견되지 않고 액체 저류가 명확하게 관찰되므로 배제할 수 있다.

• 급성담낭염: 우상복부 통증의 형태로 나타난다.

• 오른쪽결장암: 본 증례는 덩이가 3일 전부터 만져지기 시작하였으므로 가능성이 낮다.

• 메켈곁주머니염: 선천성 기형으로 성인에서는 드물게 증상을 일으키며, 증상을 일으키는 경우 출혈, 장폐색 등으로 나타난다.

관련 이론

충수돌기염

Reference

Sabiston 21e, pp.1301-1315