복통

/

460

/

460

366번

[MD25]

0

14세 남아가 4개월 전부터 배가 아프고 설사를 해서 병원에 왔다. 오른쪽 아랫배가 주로 아프고, 하루 4~6회의 검붉은 피가 섞인 설사를 한다고 한다. 수면 중에도 설사 때문에 잠을 설쳤다. 그동안 진통제와 지사제를 복용했지만 호전이 되지 않았다. 최근 1년간 체중이 7 kg 줄었다. 혈압 120/80 mmHg, 맥박 70회/분, 호흡 15회/분, 체온 37.2 ℃이다. 배 진찰에서 장음은 정상이고 오른쪽 아랫배에 압통이 있지만 덩이는 만져지지 않는다. 검사 결과는 다음과 같다. 대장내시경 사진과 생검 사진이다. 급성기 초회 치료는?

혈액: 혈색소 8.2 g/dL

백혈구 9,400/mm³, 혈소판 160,000/mm³

적혈구침강속도 42 mm/시간 (참고치, <10)

C반응단백질 26 mg/L (참고치, <10)

총단백질 6.5 g/dL, 알부민 3.0 g/dL

항중성구세포질항체 음성

대변: 칼프로텍틴 2,850 μg/mg (참고치, <50)

정답률 51%

누적 풀이 횟수 2,400+

평균 풀이 시간50초

/

나의 풀이 시간0

CC

M/14, 복통/설사(4m)

Hx

진통제와 지사제 복용하였지만 호전되지 않음

S/Sx

RLQ 통증, 검붉은 피가 섞인 설사(4-6회/day), 설사로 인해 수면방해(+)

체중감소(-7kg/1년)

V/S 120/80 70 15 37.2, RLQ dT(+), mass(-)

Lab

Hb↓, ESR/CRP↑, albumin↓

Stool: Fecal calprotectin↑

Img

Etc

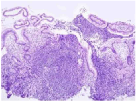
Colonoscopy: Aphthous ulcer, skip lesion

Histopathology: Non-caseating granuloma

Imp: 크론병(Crohn's disease)

해설

임상증상, 혈액검사, 내시경소견, 조직검사 결과 크론병으로 진단 하, 질병의 중증도가 moderate~severe에 해당하므로 초기 관해유도(induction therapy) 치료로 완전장관영양을 시행한다.

• 14세 남자가 4개월 전 시작된 복통 및 설사를 주호소로 내원했다.

• 설사와 복통이 지사제/진통제를 복용하여도 호전되지 않았으며, 1년간 7kg의 체중감소 및 설사로 인한 수면방해 또한 있으므로 기능성 질환보다는 기질성 질환이 의심된다.

• 혈액검사 결과 CRP/ESR elevation, 대변검사 결과 Fecal calprotectin elevation이 동반되므로 염증성 장질환(IBD)을 의심해보아야 한다. 특히, 환자의 연령이 어리며, RLQ pain을 호소하는 것으로 미루어보아 IBD 중 크론병(Crohn`s disease)이 가장 의심된다.

• 대장내시경상 비교적 깊지 않은 Apthous ulcerskipped lesion의 형태로 존재하는데, 이는 크론병에서 흔히 나타날 수 있는 내시경 소견이며, 추가적으로 조직검사상 non-caseating granuloma 또한 확인할 수 있다.

• 환자의 임상증상, 혈액검사, 내시경소견, 조직검사를 종합할 때 크론병(Crohn`s disease)으로 진단 가능하다.

• 크론병의 치료는 질병의 중증도에 따라 달라지는데, 소아/청소년 크론병의 중증도 평가 도구로 PCADI가 존재하지만 이를 국시에서 사용하기는 다소 한계가 있다. 다만, 환자가 4-6회/day의 혈변, 체중감소, 수면방해 등의 증상이 있으며, CRP/ESR elevation, hypoalbuminemia등의 소견이 있는 것으로 미루어보아 중등도(moderate)이상의 severity에 해당한다고 짐작할 수 있다.

• 소아/청소년 크론병 환자 치료 시 moderate~severe severity일 경우 glucocorticoid 또는 완전장관영양을 관해 유도 치료(induction therapy)로 고려할 수 있다. 따라서, 본 환자의 경우 moderate~severe의 중증도를 가진 청소년 크론병 환자이므로 완전장관영양을 관해 유도치료로 시행할 수 있다.

Tip

UC 및 CD 정리

• 크론병의 치료에 있어 소아/청소년과 성인 사이 약간의 차이가 존재한다. 소아/청소년의 경우 경증(mild), 중등도~중증(moderate~severe)의 관해 유도 치료(induction therapy)로 5-ASA, steroid, anti-TNF-a제제 외에 완전장관영양(EEN, exclusive enteral nutrition)이 권고 될 수 있다. 완전장관영양은 소아/청소년 크론병에서 점막 치유를 촉진하고, 염증 억제에 효과가 있다고 알려져 있으며, 대규모 메타분석에 의하면 steroid에 비해 완전장관영양이 높은 관해율을 보임이 확인되었다(단, 통계적 유의성은 없었음). 단, 장기간의 완전장관영은 환아에게 부담을 줄 수 있으므로 유지 치료(maintanence therapy)로는 거의 활용되지 않으며, 주로 관해 유도 치료로 활용된다.

• 성인의 경우 특정 상황에서 완전장관영양을 고려할 수 있으나, 유도 치료로 일반적으로 권장되지는 않는다.

오답 선지

• 반코마이신 경구투여: 거짓막대장염(PMC)의 치료로 활용되나, 크론병의 치료로는 사용되지 않는다.

• 이부프로펜 경구투여: NSAID 약물로 해열/진통/소염 효과가 있는 약물이다. 크론병 치료에 일반적으로 사용되지 않는다.

• 사이클로스포린 경구투여: 스테로이드 치료에 반응하지 않는 중증 궤양성 대장염(UC) 환자에서 사용할 수 있으나, 크론병(CD)에서는 일반적으로 잘 활용되지 않는다.

• 아자싸이오프린 경구투여: 크론병의 유지 치료(maintenance)로 주로 사용되며, 관해 유도 치료에도 활용될 수 있으나 일반적으로 스테로이드 또는 Anti-TNF-α 제제와 병용하는 것이 원칙이며, 단독으로 관해 유도 치료로 선택하는 것은 적절하지 않다.

관련 이론

염증성 장질환

Reference

Harrison 21e, pp.2469-2490

ACG Guideline, 2018

• Clinical manifestations, diagnosis, and prognosis of Crohn disease in adults. Uptodate.

• Overview of the management of Crohn disease in children and adolescents. Uptodate.

• Medical therapies for Crohn disease in children and adolescents. Uptodate.