39번
[MD21]
0
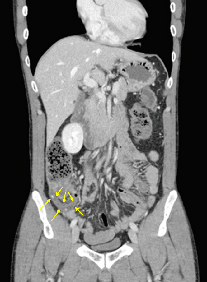
43세 남자가 하루 전부터 배가 아파서 병원에 왔다. 하루 전에 과식한 뒤 오른쪽 아랫배가 아프고 구역감이 생겼다. 혈압 125/85 mmHg, 맥박 83회/분, 호흡 21회/분, 체온 37.4℃ 이다. 오른쪽 아랫배에 압통과 반동압통이 있다. 혈액검사 결과는 다음과 같다. 복부 컴퓨터단층촬영 사진이다. 치료는?
혈색소 14.1 g/dL, 백혈구 13,460/mm3, 혈소판 206,000/mm3

정답률 83%
누적 풀이 횟수 1,000+
평균 풀이 시간43초
/
나의 풀이 시간0초
CC | M/43, 과식한 이후 시작된 복통과 구역감(1d) |
Hx | |
S/Sx | 압통/반동압통 (+/+) |
Lab | 백혈구 13,460/mm3 |
Img | CT: 막창자꼬리염 소견 |
Etc |
Imp: 충수돌기염(appendicitis)
해설
• 위 환자는 급격히 시작된 복통과 오른쪽 아랫배에 특징적인 압통과 반동압통 증상, CT 상 충수돌기염 소견으로 봤을 때 쉽게 진단이 가능하다.
• 충수돌기염의 경우 농양이 없다면 즉시 충수돌기절제술을 시행해야 한다.
Tip
충수돌기염 정리 | |
임상양상 | • 급성 복통: 배꼽 주위 → RLQ로 이동 • RLQ 압통/반동압통 • 발열, 복부덩이: 천공 시사 |
진단 | • 복부 CT: 충수돌기 distension, wall thickening • 초음파: 충수돌기 지름 > 7mm |
치료 | • 농양 X: 충수돌기절제술 • 농양 O: 항생제 + 배액 → 6~8주 후 interval appendectomy |
관련 이론
• 충수돌기염
Reference
• Sabiston 21e, pp.1301-1315