2번
[MD23]
0
58세 남자가 1개월 전부터 음식을 먹으면 더부룩하고 배가 부르다고 병원에 왔다. 2주 전부터 종종 메스껍고 구토를 여러 번 했으며, 1개월간 몸무게가 76 kg에서 65 kg으로 줄었다고 한다. 혈압 110/70 mmHg, 맥박 62회/분, 호흡 16회/분, 체온 36.4℃ 이다. 윗배에 압통이 있지만 반동압통은 없다. 혈액검사 결과는 다음과 같다. 상부위장관내시경술 사진과 복부 컴퓨터 단층촬영 사진이다. 치료는?
혈색소 11.1 g/dL, 백혈구 7,520/mm3 , 혈소판 165,000/mm3
혈액요소질소/크레아티닌 25.5/1.2 mg/dL
총단백질 5.7 g/dL, 알부민 3.0 g/dL
총빌리루빈 2.8 mg/dL, 직접빌리루빈 1.5 mg/dL
아스파트산아미노기전달효소 127 U/L
알라닌아미노기전달효소 108 U/L
알칼리성인산염분해효소 717 U/L
감마글루타밀전달효소 483 U/L
녹말분해효소 149 U/L, 지방분해효소 288 U/L
암배아항원 5.3 ng/mL (참고치, <5)
CA 19-9 112.8U/mL (참고치, <37)


정답률 37%
누적 풀이 횟수 2,000+
평균 풀이 시간62초
/
나의 풀이 시간0초
CC | M/58, 소화불량/복부팽만(1m, 식후 더부룩함) |
Hx | |
S/Sx | 오심/구토(2w), 체중감소(-11kg/1m) V/S 110/70 62 16 36.4, epigastric dT/rT(+/-) |
Lab | Alb↓, T/D.bili↑, AST/ALT↑, ALP/GGT↑, amy/lipa↑, CEA↑, CA 19-9↑ |
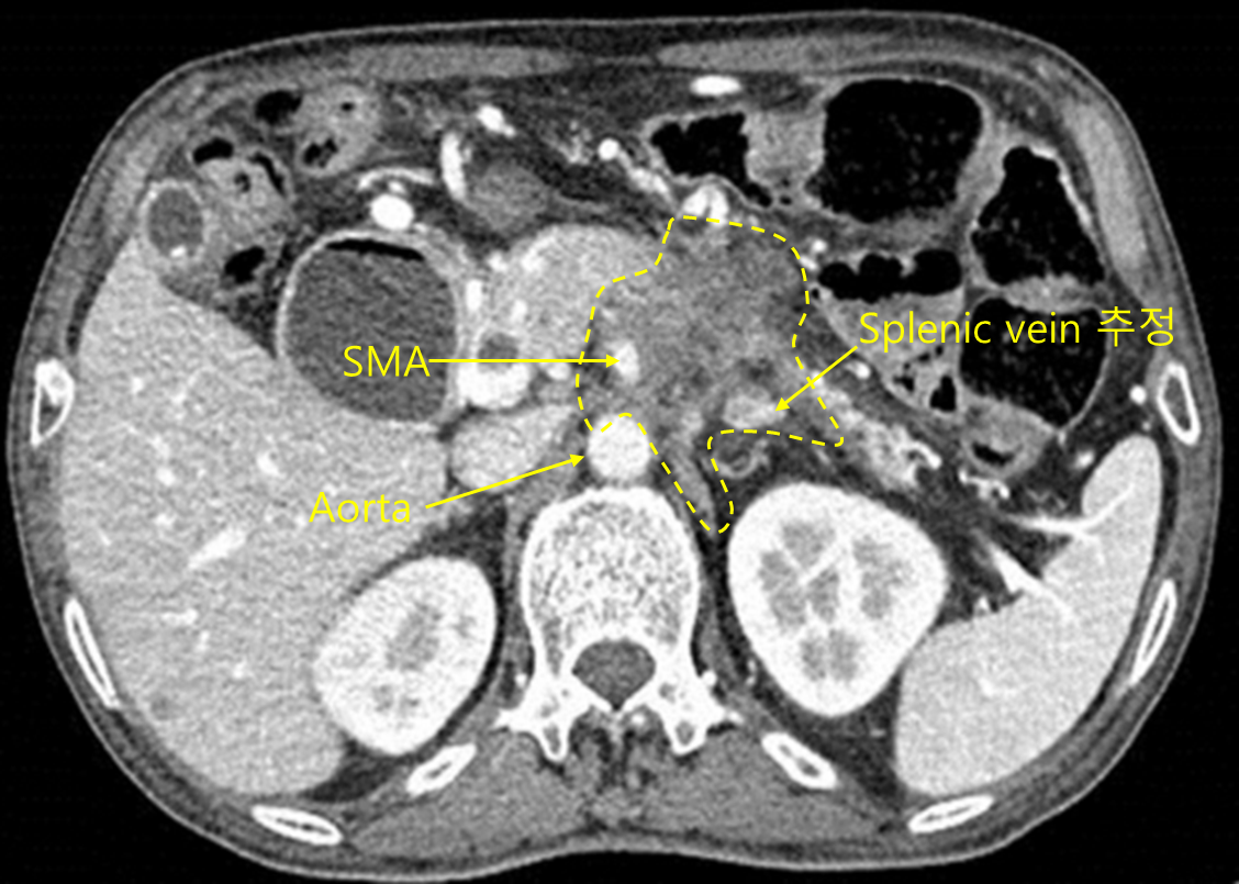
Img | CT: Pancreatic mass, with duodenal dilatation, possible mesentery and vessel invasion |
Etc | EGD: Food content collection at duodenum |
Imp: 췌장암(pancreatic cancer)
해설
종양표지자와 CT 소견상 췌장암이 가장 의심되며, unresectable하므로 GI obstruction 증상을 해소하기 위해 gastrojejunostomy를 이용한 bypass surgery를 시행한다.
• 58세 남자가 1개월 전 시작된 소화불량 및 복부팽만을 주호소로 내원했다.
• 오심/구토와 상복부 압통이 동반되었으므로 상부위장관의 이상을 짐작해볼 수 있는데, 체중감소가 매우 심각하므로 악성 질환을 의심해야 한다.
• Lab상 일반적인 위암 등 상부위장관 암과는 다르게 bilirubin, ALP/GGT가 상승된 담즙정체 양상이 보이며, amylase/lipase도 상승되어 있다. 상기 lab 결과와 매우 높은 CA 19-9, 약간 높은 CEA로 보아 췌장암이 가장 의심된다.
• EGD에서 duodenum 내부에 food content가 차 있는 것이 확인되는데, 이는 이보다 distal한 부위에 폐색이 발생했음을 시사한다. 소화불량과 오심/구토 등 GI 증상은 여기에서 비롯된 것으로 보인다.
• CT상 췌장 가운데에 cancer로 추정되는 mass가 보이며, 일부는 mesentery와 mesenteric vessel까지 침범한 것으로 보인다. 따라서 unresectable한 pancreatic cancer의 가능성이 높다.
• 따라서 담즙정체 및 위장관폐색을 해결할 수 있는 고식적(palliative) 치료가 필요하다. 보기 중 위공장연결(gastrojejunostomy)이 이에 해당한다.
Tip
• 췌장암의 병기와 치료
췌장암 정리 | |
위험요인 | • 고령, 흡연, 만성 췌장염 등 |
임상양상 | • 복통, 체중감소, 황달 |
검사소견 | • CA 19-9 상승, Bilirubin/ALP/GGT 상승 가능 |
진단 | • CT: Pancreatic mass, pancreatic duct dilatation(head cancer의 경우) • MRCP: Double-duct sign(head cancer의 경우) |
치료 | • 수술 가능 + head: 췌십이지장절제술 • 수술 가능 + body/tail: 원위부췌장절제술 • 수술 불가능: 전신 CTx • 고식적 치료(황달시 ERBD/PTBD 등) |
오답 선지
• 담낭절제: 담낭염, 매우 병기가 낮은 담낭암의 경우 일반적인 담낭절제술을 시행할 수 있다. 본 증례와는 관련이 없다.
• 먼쪽위절제: 위암이 위의 distal 1/3에서 발생했으며 원격 전이가 없을 때 시행하는 술식이다. 본 증례는 EGD상 duodenum까지 관찰했는데도 종양에 대한 언급이 없으므로 배제할 수 있다.
• 전체췌장절제: 췌장암의 근치적 절제를 위해 전체췌장절제를 하는 경우가 드물게 있으나, 본 증례는 췌장에 국한되어 있는 종양이 아니므로 근치적 절제가 불가능하다.
• 췌십이지장절제: 췌두부암의 근치적 절제를 위해 시행하는 술식이나, 본 증례는 췌장에 국한되어 있는 종양이 아니므로 근치적 절제가 불가능하다.
관련 이론
• 췌장암
Reference
• Sabiston 21e, pp.1551-1563