토혈/흑색변/혈변

/

164

/

164

131번

[MD25]

0

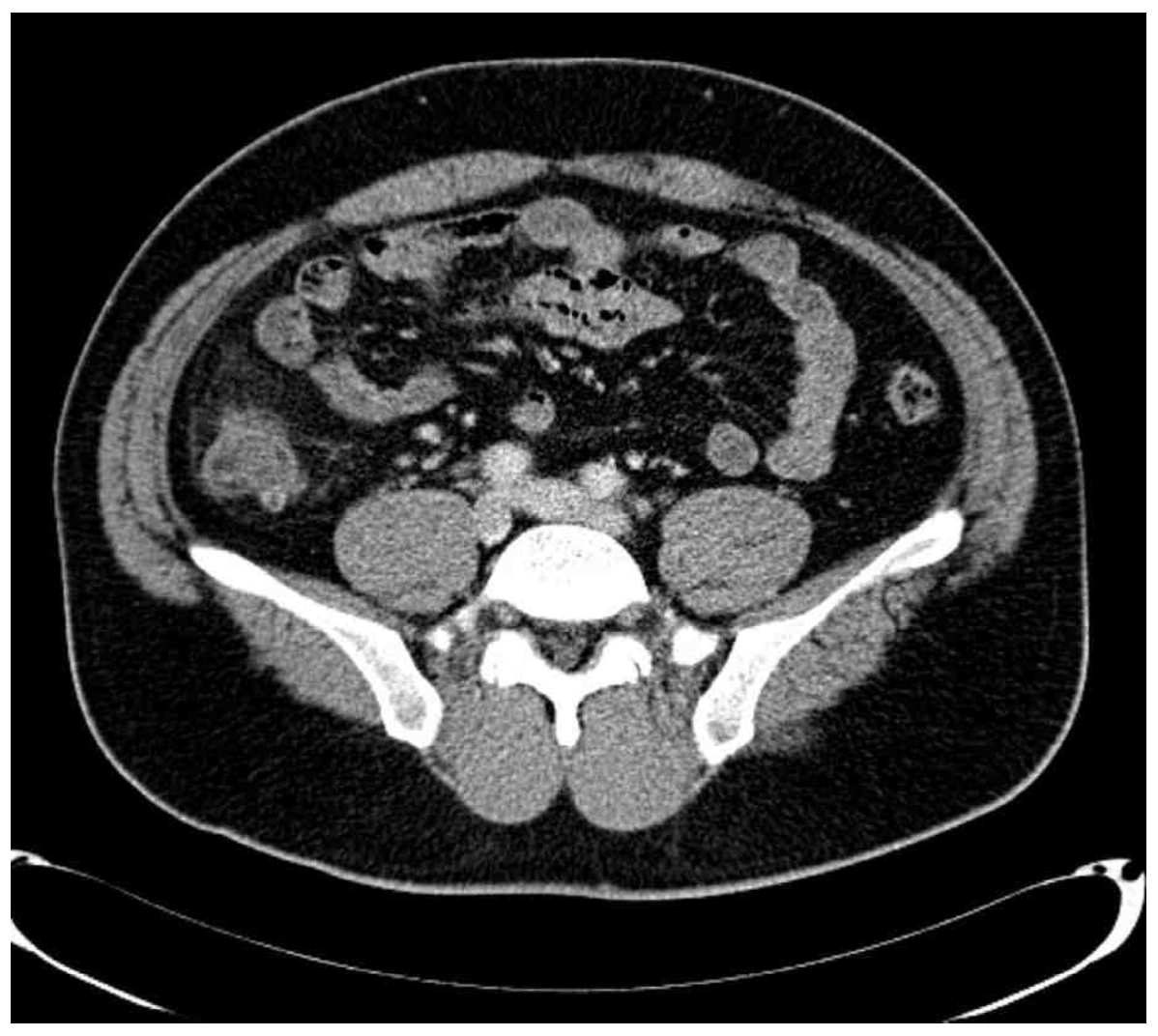
57세 남자가 1일 전에 혈변을 봤다며 병원에 왔다. 혈압 110/65 mmHg, 맥박 120회/분, 호흡 20회/분, 체온 37.2°C이다. 오른쪽 아랫배에 압통이 있고 반동압통은 없다. 혈액검사 결과는 다음과 같다. 복부 X선사진과 복부 컴퓨터 단층촬영 사진이다. 진단은?

혈색소 9.5 g/dL, 백혈구 15,800/mm³, 혈소판 182,000/mm³

C반응단백질 70 mg/L (참고치, <10)

적혈구침강속도 35 mm/시간 (참고치, <20)

정답률 82%

누적 풀이 횟수 2,400+

평균 풀이 시간52초

/

나의 풀이 시간0

CC

M/57, 혈변(1d)

Hx

S/Sx

RLQ dT/rT(+/-)

V/S 110/65 120 20 37.2

Lab

Hb↓, WBC↑, CRP/ESR↑

Img

CT: localized bowel wall thickening and inflammation findings(hazziness) in RLQ

Etc

Imp: 곁주머니염(diverticulitis)

해설

CT상 diverticulum 및 inflammation 소견이 보이며, 혈액검사에서 염증 소견이 확인되므로 게실염으로 진단한다.

• 57세 남자가 1일 전 시작된 혈변을 주호소로 내원했다.

우하복부 압통이 동반되어 있으며, 혈액검사 결과 leukocytosis, CRP/ESR elevation 소견이 확인되므로 RLQ에 염증성 병변이 발생된 것으로 추정된다.

• AXR상에선 특이소견이 관찰되지 않았지만, 복부 CT상 우하복부 위치에서 diverticulum 및 주위에 지저분한 음영이 관찰된다. 환자의 임상증상 및 혈액검사 결과와 종합하여 생각할 때, 염증성 병변으로 인한 소견으로 생각된다.

• 우하복부 위치에서 diverticulum이 확인되고 주변에 염증성 소견 또한 관찰되므로 곁주머니염(diverticulitis)으로 진단한다.

Tip

복통 위치별 분류

게실염 정리

임상양상

• 복통, 발열, RLQ/LLQ 압통

진단

• CT: Colonic wall thickening, diverticulum 근처 inflammation

• 대장내시경, Ba enema 금기

치료

• 항생제: (Ciprofloxacin or 3세대 cephalosporin) + metronidazole

• 경피적 배농(농양 동반시), 응급수술(천공 및 범복막염 동반시)

오답 선지

• 크론병: Ileocecal area를 자주 침범하여 RLQ tenderness을 유발할 수 있으나, 본 증례와 달리 만성적인 통증을 호소하고, 배변 이상 등 만성적인 증상이 선행되는 경우가 많다.

• 대장암: 복부 CT상 mass가 확인되지 않으며, 급성적인 질병 경과 및 염증 소견을 볼 때 대장암의 가능성은 낮다고 생각된다.

• 궤양결장염: 주로 rectosigmoid colon을 침범하여 LLQ pain 유발하며, 본 증례와 달리 만성적인 통증을 호소하고, 배변 이상 등 만성적인 증상이 선행되는 경우가 많다.

• 허혈장질환: 본 증례보다 고령이면서 고혈압 등의 동반 질환이 있는 경우 더욱 흔하게 발생하며, 특히 splenic flexure 및 rectosigmoid junction과 같은 watershed area에서 호발한다.

관련 이론

게실 질환

Reference

Harrison 21e, pp.2497-2501