토혈/흑색변/혈변

/

164

/

164

132번

[MD25]

0

72세 여자가 1주 전부터 검은 변을 본다고 병원에 왔다. 30년 동안 매일 소주를 반 병씩 마셔왔고 6개월 전부터 소화가 잘되지 않아 소화제를 복용하고 있다. 혈압 110/70 mmHg, 맥박 78회/분, 호흡 20회/분, 체온 36.4°C이다. 배에 압통은 없으나 직장손가락검사에서 자장 색의 변이 묻어 나왔다. 혈액검사 결과는 다음과 같다. 위내시경 사진과 복부 컴퓨터단층촬영 사진이다. 진단은?

혈색소 7.9 g/dL, 백혈구 7,400/mm³, 혈소판 295,000/mm³

알파태아단백질 1.9 ng/mL (참고치, <5)

암배아항원 1.5 ng/mL (참고치, <5)

CA 19-9 17.1 U/mL (참고치, <37)

정답률 84%

누적 풀이 횟수 2,400+

평균 풀이 시간38초

/

나의 풀이 시간0

CC

F/72, 흑색변(1w)

Hx

음주: 소주 반병/day(30y)

소화불량으로 인해 소화제 복용(6m)

S/Sx

V/S 110/70 78 20 36.4, dT(-)

DRE: Melena

Lab

Hb↓

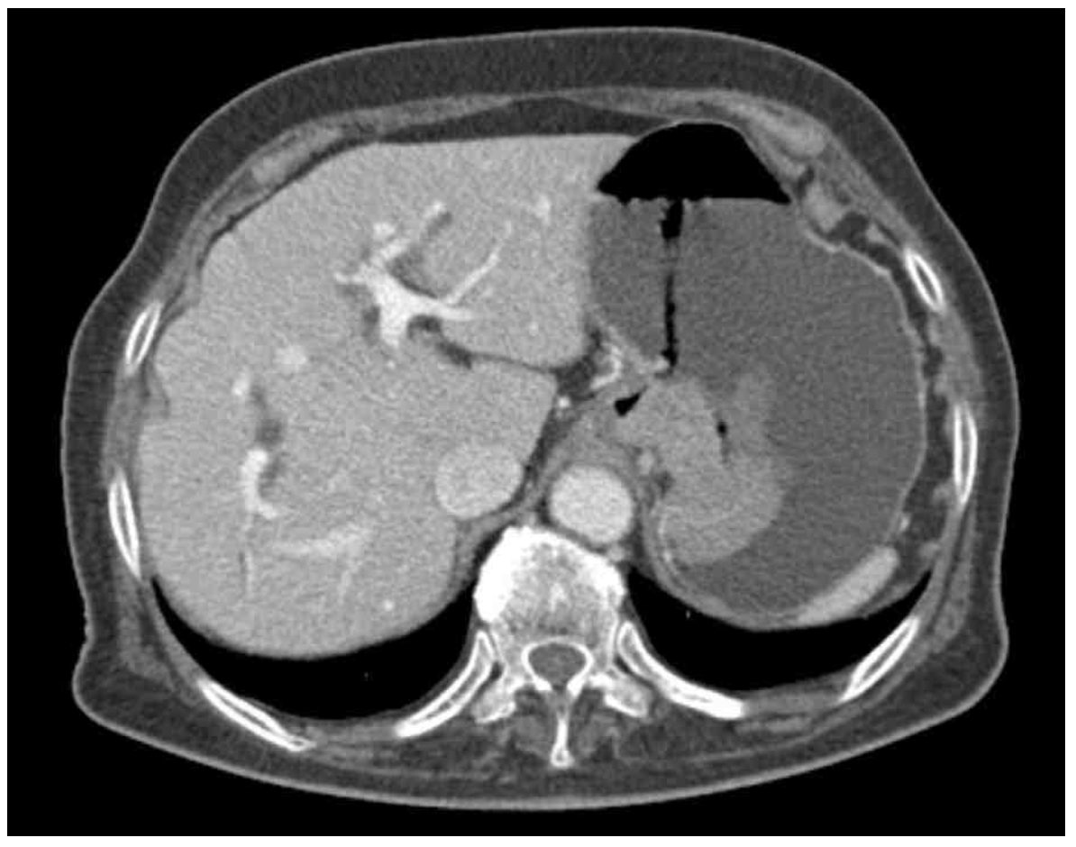
Img

CT: Large gastric mass, protruding towards lumen

Etc

EGD: Gastric mass with bleeding, probably malignant

Imp: 위암(gastric cancer)

해설

상부위장관 출혈이 의심되는 고령 환자의 내시경 및 복부 CT상 위암을 강력히 시사하는 mass가 관찰되었으므로 위암으로 진단한다.

• 72세 여자가 1주 전 시작된 흑색변을 주호소로 내원했다.

DRE상에서도 자장 색의 변(melena)이 확인되었으므로, 상부위장관 출혈이 의심된다. 환자가 고령이며, 장기간의 음주력이 있는 것을 고려할 때 악성질환의 가능성을 염두에 두어야 한다.

• 현재 V/S stable하며 복부 압통 또한 없으므로 원인 확인을 위해 EGD를 시행하였다. EGD상 출혈이 동반된 mass가 내강으로 돌출되어 있음이 확인되는데, 육안적으로 볼 때 위암이 강력히 의심된다.

• 복부 CT에서 또한 위 내부로 돌출된 gastric mass소견이 관찰된다.

• 환자의 연령, 상부위장관 출혈 소견, 내시경 및 복부 CT 소견을 종합할 때 위암(gastric cancer)이 가장 의심된다.

Tip

• CA 19-9는 주로 췌장암 및 담도계 암(pancreatobiliary cancer)과 관련된 종양 표지자로 잘 알려져 있으나, 위암에서도 상승할 수 있다.

위암 정리

임상양상

• 체중감소, 복통, 속쓰림, 토혈

• 구토, 복부팽만 등

• Lt. supraclavicular LN 촉진, 복수 등 → 전이 시사

진단

• 위암 확인: EGD + biopsy

• 병기 설정: CT + EUS (+ PET-CT)

치료

ESD: Mucosa 국한, ≤ 2cm, 고~중등도 분화 등

• 수술: ESD 시행 불가 & 원격전이/혈관침범 없음

- Distal 2/3: Distal gastrectomy

- Proximal 1/3: Total gastrectomy

- Neoadjuvant or adjuvant CTx 대부분 시행

• 고식적 치료: 폐쇄시 stent 삽입

오답 선지

• 만성위염: EGD상 점막 발적 또는 위축 등의 소견이 주로 관찰된다. 본 증례의 EGD 및 CT에서처럼 내강으로 돌출된 병변은 위암을 시사한다.

• 소화궤양: 본 증례의 EGD 및 CT에서처럼 내강 쪽으로 돌출된 병변은 위암을 시사한다.

• 위정맥류: 간경변증의 합병증으로 주로 발생하며, EGD상 위벽에 울퉁불퉁하게 팽창되어 내강으로 튀어나온 정맥류가 관찰된다. 본 증례의 EGD상 정맥류 소견은 관찰되지 않는다.

• 맬로리-바이스증후군: 심한 구토, 기침 증상이 있는 환자에게서 토혈이 있을 때 의심하며, EGD상 longitudinal한 점막 손상이 주로 관찰된다.

관련 이론

위암

Reference

Harrison 21e, pp.629-633

대한위암학회 가이드라인, 2022