토혈/흑색변/혈변

/

164

/

164

134번

[MD25]

0

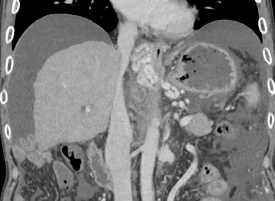
52세 남자가 1일 전에 피를 토했다며 병원에 왔다. 혈압 100/60 mmHg, 맥박 110/분, 호흡 18회/분, 체온 36.4°C이다. 결막은 창백하고 공막에 황달이 있다. 배는 팽만되고 이동 둔탁음이 있다. 혈액검사 결과는 다음과 같다. 식도위내시경술 사진과 복부 컴퓨터단층촬영 사진이다. 진단은?

혈색소 8.6 g/dL, 백혈구 4,350/mm3, 혈소판 94,000/mm3

프로트롬빈시간 16.4초 (참고치, 12.7~15.4)

알부민 2.5 g/dL, 총빌리루빈 3.8 mg/dL

아스파트산아미노기전달효소 61 U/L

알라닌아미노기전달효소 85 U/L

정답률 96%

누적 풀이 횟수 2,300+

평균 풀이 시간31초

/

나의 풀이 시간0

CC

M/52, 토혈(1d)

Hx

S/Sx

V/S 100/60 110 18 36.4

Pale conjunctivae, icteric sclerae, abdominal distension, shifting dullness

Lab

Hb↓, PLT↓, PT↑, Albumin↓, T.bilirubin↑, AST/ALT↑

Img

CT: Large amount of ascites, esophageal varices

Etc

EGD: Esophageal varices

Imp: 식도정맥류(esophageal varix), 비대상성 간경변증(decompensated liver cirrhosis)

해설

임상증상(황달, 복수, 토혈), 혈액검사, EGD 및 복부 CT 소견을 종합할 때 간경변증의 합병증으로 발생한 식도정맥류로 진단한다.

• 52세 남자가 1일 전 발생한 토혈을 주호소로 내원했다.

• 토혈은 상부위장관 출혈을 시사하는데, 주된 원인으로는 위/십이지장 궤양, 식도 정맥류, 식도염, 맬로리-바이스증후군 등이 있다.

• 현재 환자는 황달이 동반되어 있으며, 복부팽만 및 이동 둔탁음(+) 소견을 고려할 때 복수 또한 동반된 것으로 판단된다. 황달과 복수는 간 기능 저하에서 흔히 나타나는 소견이므로, 토혈은 식도정맥류 출혈에 의해 발생했을 가능성이 높다고 생각된다.

• 혈액검사 상에서도 PT prolongation, hypoalbuminemia, hyperbilirubinemia를 확인할 수 있는데, 이 또한 간기능 저하를 시사하는 소견이다.

• 식도위내시경 상에서는 식도 내부에 구불구불하게 돌출된 정맥류가 확인되며, 복부 CT상에서도 식도 부근에 조영 증강된 정맥류 소견이 관찰된다. 추가적으로 복부 CT에서 다량의 복수 또한 관찰할 수 있다.

• 따라서, 간경변증의 합병증으로 발생한 식도정맥류(esophageal varix)로 진단할 수 있다.

오답 선지

• 미란식도염: EGD상 mucosal erosion 등 소견이 확인되지 않는다.

• 부식식도염: 강산/강염기 노출 병력이 없으며, EGD 상 의심할만한 병변이 관찰되지 않는다.

• 역류식도염: 토혈보다는 가슴쓰림, 산 역류 증상을 주로 호소하며, EGD상 정상 또는 mucosal erosion 소견이 주로 관찰된다.

• 맬로리-바이스증후군: 심한 기침 또는 구토 병력이 흔히 동반되며, EGD상 선형의 점막 손상이 주로 관찰된다.

관련 이론

정맥류 출혈

간경변증

Reference

Harrison 21e, pp.2629-2630

AASLD guideline, 2023

대한간학회 가이드라인, 2019