무월경/희발월경

/

92

/

92

75번

[MD25]

0

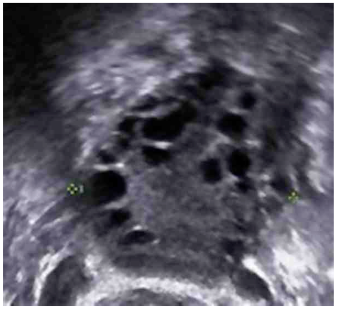
36세 산과력 0-0-0-0인 여자가 4개월 전부터 월경을 하지 않는다며 병원에 왔다. 평소 월경주기는 60~ 90일로 불규칙 하였다. 12년 전부터 하루 평균 담배를 한 갑 정도 피운다고 한다. 키 160 cm, 체중 78 kg이다. 혈압 135/85 mmHg, 맥박 78회/분, 호흡 20/분, 체온 36.6°C이다. 외음부, 하복부 및 허벅지 안쪽에 털이 많다. 검사 결과는 다음과 같다. 오른쪽 난소의 초음파검사 사진이다. 치료는?

혈액: 난포자극호르몬 5.8 mlU/mL (참고치, 5.0 ~ 20.0)

황체형성호르몬 14.1 mlU/mL (참고치, 5.0 ~ 20.0)

에스트라다이올 61.2 pg/mL (참고치, 20 ~ 400)

갑상샘자극호르몬 2.11 mlU/L (참고치, 0.34 ~ 4.25)

프로락틴 23.1 ng/mL (참고치, 1.9 ~ 25.0)

소변: 임신반응검사 음성

정답률 43%

누적 풀이 횟수 2,600+

평균 풀이 시간35초

/

나의 풀이 시간0

CC

F/36, 0-0-0-0, 무월경(4m)

Hx

흡연: 12갑년

S/Sx

V/S 135/85 78 20 36.6, 160cm/78kg, hirsutism

Lab

LH/FSH ratio↑

Img

US: Polycystic ovary

Etc

Imp: 다낭성 난소 증후군(polycystic ovarian syndrome, PCOS)

해설

무월경을 주호소로 내원한 환자에서 고안드로젠증, 초음파상 polycystic ovary가 나타나므로 PCOS 진단하에, 월경 주기 회복을 위해 호르몬 치료를 시행해야 하나 35세 이상 1갑/일의 흡연자이므로 에스트로젠을 제외한 메드록시프로제스테론 단독 치료를 시행한다.

• 36세 여자가 4개월 전부터 시작된 무월경으로 내원하였다.

• 평소에도 월경주기가 불규칙했고 LMP가 4개월 전이므로, ovarian factor가 무월경의 원인으로 추정된다.

• 혈액 검사상 LH가 FSH에 2배 이상 높으므로 다낭성 난소 증후군(polycystic ovarian syndrome, PCOS)이 의심된다.

• 키 160cm, 몸무게 78kg으로 BMI는 30.5kg/m2이다. PCOS 환자에서 인슐린 저항성에 의해 비만이 흔히 동반되는데 본 환자의 경우도 BMI 30.5로 비만에 해당한다. 또한, 과도한 안드로겐으로 인해 다모증이 발생할 수 있는데 본 증례에서 외음부, 하복부 및 허벅지 부위에서 나타난다.

US 상 polycystic ovary가 있으므로 해당 US 소견, 희발월경, 고안드로겐증을 통해 PCOS로 진단한다.

• PCOS의 치료는 환자의 주호소에 따라 달라진다. 본 환자는 무월경을 호소하고 있으므로, 월경주기를 회복할 수 있는 호르몬제를 복용해야 한다. TOC는 oral contraceptive(E+P) 이지만 환자는 35세 이상이고, 하루에 한 갑의 담배를 피우고 있으므로 combined OC의 금기증에 해당한다. 대안으로 progesterone을 사용한다.

• 따라서 치료는 메드록시프로제스테론이다.

Tip

복합경구피임제의 금기증(담배 1갑은 20개비)

다낭성 난소 증후군 정리

병태생리

• Androgen/LH 과생성 + FSH 부족 → 무배란 + unopposed E

임상양상

• 무월경, 불임, 다모증, 질출혈

검사소견

• LH:FSH 비율 ≥ 2.0, testosterone 상승

• US: 다낭성 난소 소견

치료

1) 무월경/다모증/질출혈: 복합경구피임제, progesterone 등

2) 불임: Letrozole, clomiphene, hMG 등

3) 비만: 체중 감량

오답 선지

• 레트로졸: PCOS 환자가 불임을 호소하는 경우 ovulation induction을 위한 약제로 aromatase inhibitor인 letrozole을 사용한다.

• 에스트로젠: PCOS의 주된 합병증 중 하나가 unopposed estrogen에 의한 EM hyperplasia, carcinoma이므로 에스트로겐 단독으로는 PCOS의 치료에 사용하지 않는다.

• 복합경구피임제: 본 증례는 나이와 흡연력 때문에 복합경구피임약의 금기증에 해당하므로 사용할 수 없다.

• 사람폐경생식샘자극호르몬: PCOS 환자가 불임을 호소할 때 다른 약제(letrozole, clomiphene + metformin)를 사용했음에도 실패한 경우에 시도해 볼 수 있다. 매일 주사를 맞아야 하므로 우선 고려하는 치료는 아니다.

관련 이론

다낭성 난소 증후군

Reference

• Berek & Novak 16e, pp.889-941

Intenational guideline, 2023