48번
[MD25]
0
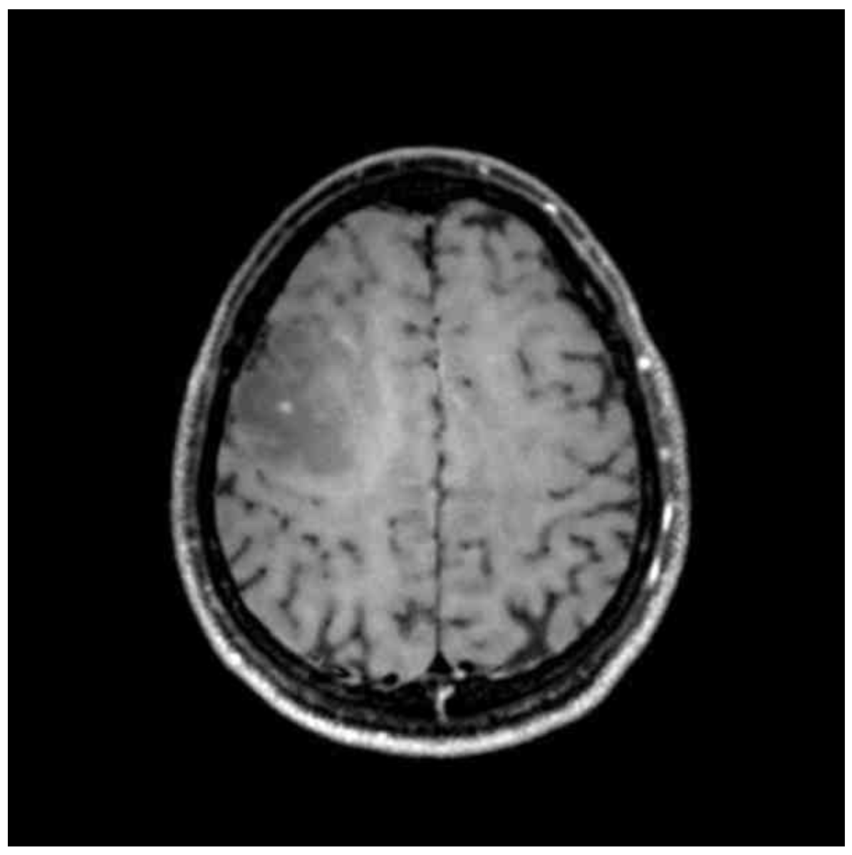
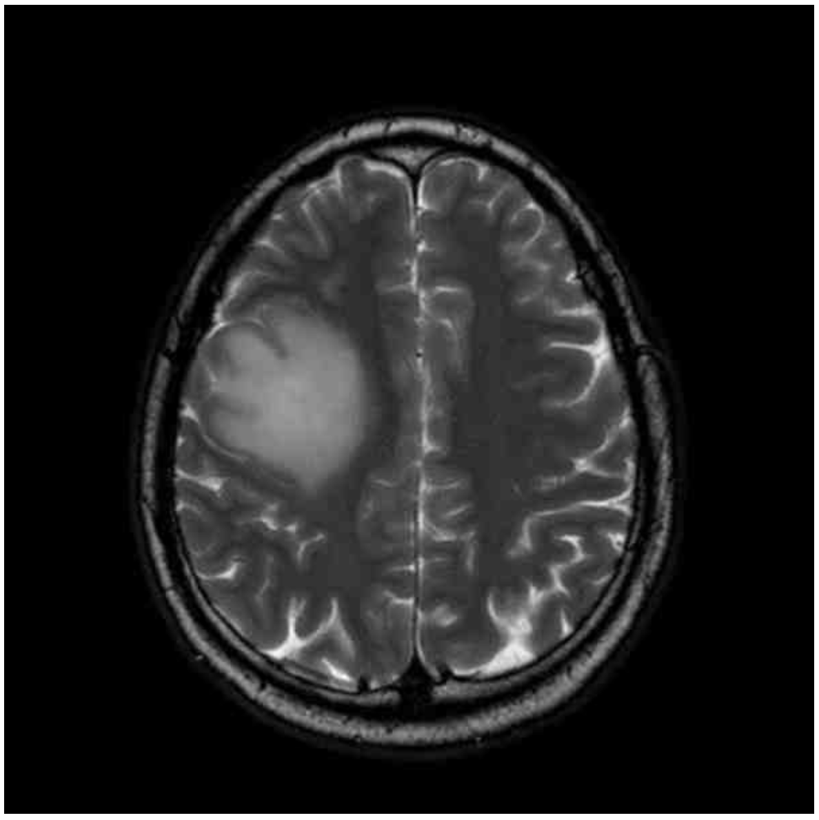
31세 남자가 3시간 전에 전신경련이 발생하여 응급실에 왔다. 사무실에서 컴퓨터 작업 중 갑자기 고개가 한쪽으로 돌아가면서 바닥에 쓰러졌고, 이후 침을 흘리며 전신을 떨어서 동료들이 119에 신고했다. 구급차 안에서 의식을 회복했다. 1년 전부터 나타난 두통이 점점 심해졌으나 검사는 받지 않았다. 혈압 130/80 mmHg, 맥박 82회/분, 호흡 21회/분, 체온 36.7°C이다. 뇌 자기공명영상 T2강조영상 사진과 T1조영증강영상 사진이다. 진단은?
정답률 77%
누적 풀이 횟수 1,500+
평균 풀이 시간29초
/
나의 풀이 시간0초
CC | M/31, 경련(3h) |
Hx | |
S/Sx | 경련: 고개가 한쪽으로 돌아감, 침 흘리며 전신을 떪 두통(1y, 점진적 악화) V/S 130/80 82 21 36.7 |
Lab | |
Img | MRI: T1WI hypointense, T2WI hyperintense Rt. frontoparietal mass |
Etc | - |
Imp: 뇌종양(brain tumor)
해설
T2-weighted brain MRI에서 hyperintense mass, T1-weighted brain MRI에서 hypointense mass가 확인되므로 뇌종양으로 진단한다.
• 31세 남자가 3시간 전에 전신 경련이 발생하여 응급실로 내원하였다.
• 경련 시 고개가 한쪽으로 돌아가며 바닥에 쓰러졌고, 이후 침을 흘리며 전신을 떨면서 의식이 소실된 점을 통해 seizure가 발생함을 알 수 있다.
• 1년 전부터 두통이 악화되었으므로 뇌의 기질적 병변에 의한 두통과 seizure을 의심해야하며 따라서 뇌 영상검사가 필요하다.
• 뇌 영상검사 상 T2-weighted brain MRI에서 hyperintense mass, T1-weighted brain MRI에서 hypointense mass가 확인되므로 뇌종양으로 진단한다.
Tip
• 뇌종양의 MRI 소견
① T1WI: 저음영 종양 (지방 고음영, 물 저음영)
② T2WI: 고음영 종양 (물 고음영, 지방 저음영)
③ Gd 조영증강 T1WI: 고음영 종양 (종양만 하얗게 보임)

오답 선지
• 경막외혈종: 볼록렌즈 모양의 혈종이 특징이다.
• 경막하출혈: 초승달 모양의 혈종이 특징이다.
• 전대뇌동맥경색증: 뇌경색이 발생한 부위의 반대측에서 하지 위주의 마비/감각저하가 나타나며 성격/행동의 변화, 요실금이 특징이다. 또한 ischemic stroke는 T1WI MRI 및 T2WI MRI에서는 병변이 잘 관찰되지 않으며 DWI(diffusion weighted MRI)에서 병변이 잘 관찰된다.
• 중대뇌동맥경색증: 뇌경색이 발생한 부위의 반대측에서 상지 위주의 마비/감각저하가 나타나며 우성 반구 경색의 경우 실어증, Gerstmann syndrome이 나타나며 비우성반구 경색의 경우 편측 무시가 나타나는 것이 특징이다. 또한 ischemic stroke는 T1WI MRI 및 T2WI MRI에서는 병변이 잘 관찰되지 않으며 DWI(diffusion weighted MRI)에서 병변이 잘 관찰된다.
관련 이론
• 뇌종양
Reference
• Bradley and Daroff 8e, pp.502-513, 1076-1121