발열

/

348

/

348

273번

[MD25]

0

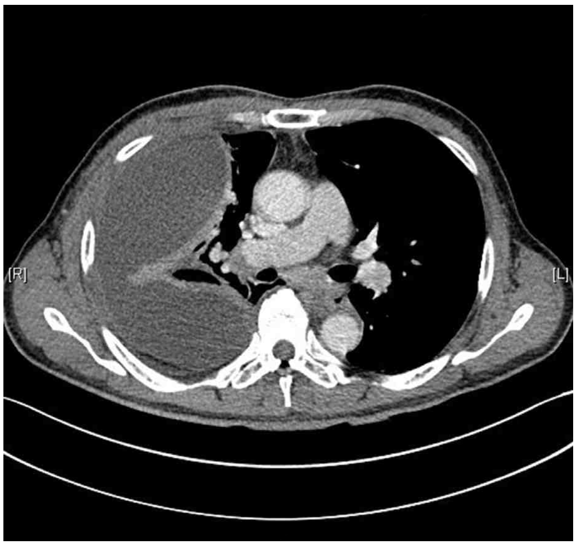
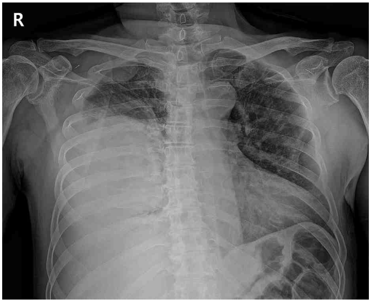
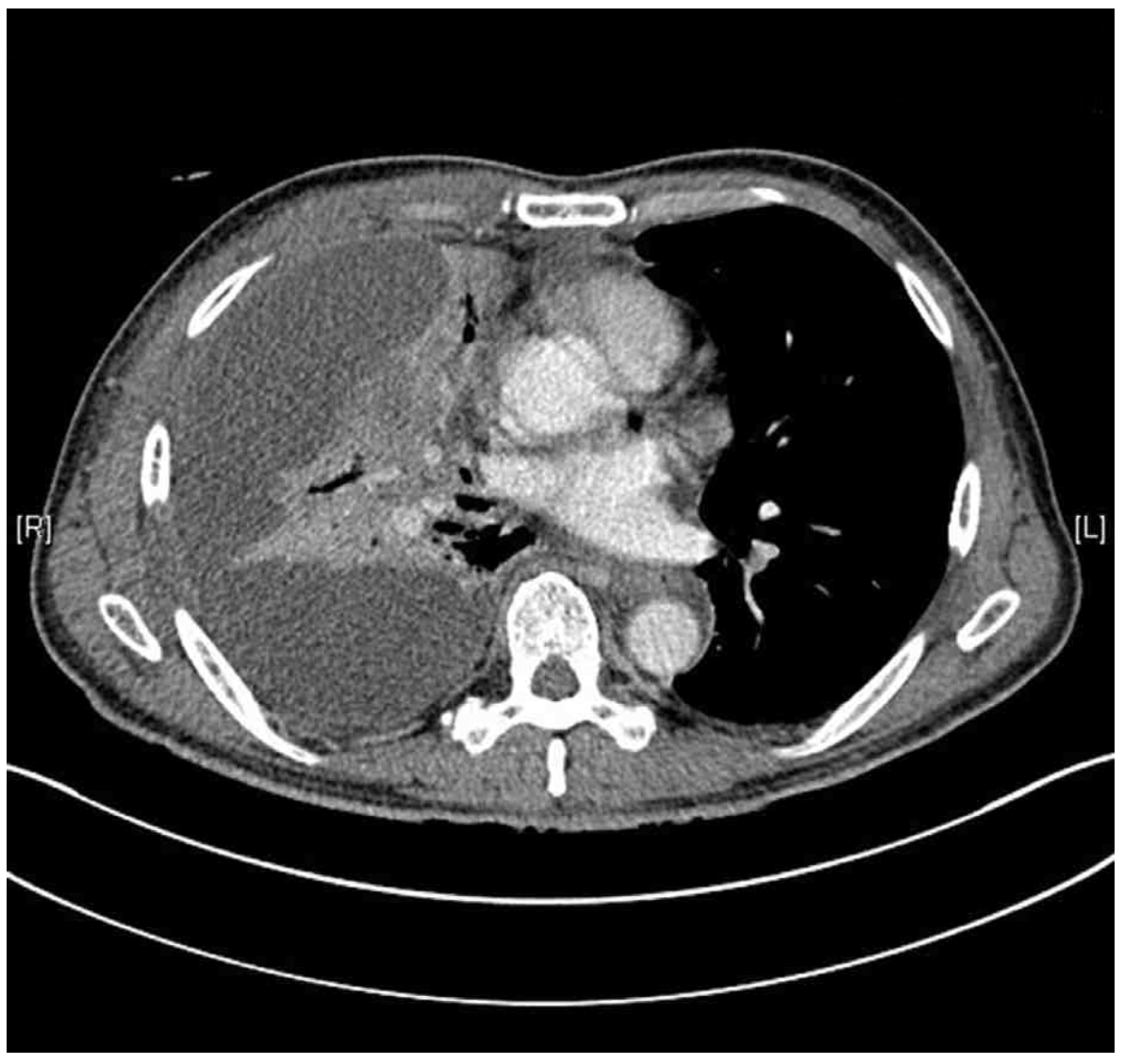
69세 남자가 1주 전부터 열이 나고 오한이 들어 병원에 왔다. 1일 전부터 가슴통증이 심해지고 숨이 찼다고 한다. 당뇨병으로 치료 중이고 비흡연자이다. 혈압 136/80 mmHg, 맥박 102회/분, 호흡 24회/분, 체온 38.6°C이다. 오른쪽 가슴에서 호흡음이 감소되어 들린다. 가슴 X선사진과 가슴 컴퓨터단층촬영 사진이다. 검사 결과는 다음과 같다. 검사는?

혈액:

혈색소 12.8 g/dL

백혈구 29,800/mm³ (중성구 90%, 림프구 4%)

혈소판 426,000/mm³

C반응단백질 78.6 mg/L (참고치, <10)

동맥혈기체(대기호흡):

pH 7.42, PaCO₂ 32 mmHg, PaO₂ 76 mmHg

정답률 87%

누적 풀이 횟수 2,100+

평균 풀이 시간47초

/

나의 풀이 시간0

CC

M/69, 발열/오한(1w)

Hx

DM on med

S/Sx

흉통/호흡곤란(1d)

V/S 136/80 102 24 38.6, decreased Rt. lung sound

Lab

WBC↑, CRP↑

ABGA(room air): PaCO₂↓, PaO₂↓

Img

CXR: Rt. pleural effusion

CT: Rt. pleural effusion, loculated

Etc

Imp: 흉막 삼출(pleural effusion), R/O 부폐렴성(parapneumonic)

해설

흉수의 존재를 확인한 환자에서 가슴막천자를 통해 흉수 성분에 대한 평가를 진행한다.

• 69세 남자가 1주 전부터 시작된 발열 및 오한을 주호소로 내원하였다.

• 1일 전부터는 흉통과 호흡곤란이 동반되는 양상이며, 오른쪽 가슴에서 호흡음이 감소되어 들리므로 흉수, 기흉 등의 원인을 의심해보아야 한다.

• CXR상 우측 흉강의 pleural effusion을 관찰할 수 있으며 chest CT에서도 해당 부위의 loculated pleural effusion을 확인할 수 있다. 현재 발열, 빈맥, 빈호흡 및 CRP elevation, neutrophil-dominant leukocytosis 등으로 보아 세균성 감염이 원인으로 추정되며, 환자가 당뇨병으로 치료 중이라는 점에서 감염에 취약한 상태일 가능성을 배제할 수 없다.

• CXR 및 chest CT를 통해 흉수의 존재를 확인하였으므로 진단적 흉막천자를 통해 그 원인을 감별하여야 한다.

• 따라서 가슴막천자를 통해 흉수 성분에 대한 평가를 진행한다.

오답 선지

• 심초음파: 호흡곤란이 심부전, 판막 질환 등 심장성 원인에 기인하는 것으로 추정될 때 사용하며, 해당 환자의 경우 영상학적 결과상 흉수의 존재가 확인되므로 심장성 호흡곤란의 가능성은 떨어진다.

• 가래 세포검사: 객담에 섞인 암세포를 발견해 내는 검사로 해당 환자의 경우 악성 종양의 증거가 없으므로 배제할 수 있다. 현 시점에서 흉수가 악성 종양에 기인한 것으로 추정되더라도 가슴막 천자를 통해 흉수의 원인을 먼저 감별하는 것이 선행되어야 한다.

• 흉강경 폐생검: 결핵성 흉막염이나 pleural carcinoma가 의심되는 경우 조직검체를 확보하는 데 사용할 수 있으나, 본 증례에서는 흉수의 존재가 확인되고 있고 흉수의 성분에 대한 자세한 평가가 우선되므로 진단적 흉막천자를 먼저 시행하여야 한다.

• 가는바늘흡인생검: 가는 바늘로 병변 부위를 흡인하여 세포를 확인하는 방법으로 흉수의 평가에는 사용되지 않는다.

관련 이론

흉막 삼출

Reference

Harrison 21e, pp.2197-2200

• Murray & Nadel 7e, pp.1560-1569