발열

/

348

/

348

279번

[MD25]

0

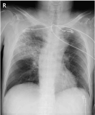
58세 남자가 4일 전부터 고열과 누런 가래가 있다며 병원에 왔다. 30갑•년의 흡연력이 있으며, 8년 전부터 금연하고 있다. 혈압 110/80 mmHg, 맥박 100회/분, 호흡 22회/분, 체온 38.6℃이다. 오른쪽 가슴에서 거품소리가 들린다. 가슴 X선 사진이다. 혈액검사 결과는 다음과 같다. 치료는?

혈색소 12.5 g/dL, 백혈구 12,300/mm³, 혈소판 340,000/mm³

혈액요소질소/크레아티닌 25/0.9 mg/dL

정답률 92%

누적 풀이 횟수 2,300+

평균 풀이 시간36초

/

나의 풀이 시간0

CC

M/58, 발열/가래(4d)

Hx

흡연: 30갑년

S/Sx

V/S 110/80 100 22 38.6, Rt. rale

Lab

WBC↑

Img

CXR: RUL lobar consolidation

Etc

Imp: 지역사회 획득 폐렴(community-acquired pneumonia, CAP)

해설

지역사회획득 폐렴에 대한 경험적 항생제로 아목시실린-클라불라네이트를 사용한다.

• 58세 남자가 4일 전부터 시작된 고열 및 누런 가래를 주호소로 내원하였다.

• 고열과 화농성으로 보이는 누런 가래로 보아 호흡기 감염이 의심된다.

• 오른쪽 가슴에서 거품소리 들리므로 폐렴을 의심할 수 있으며, 혈액검사에서도 염증성 질환을 시사하는 leukocytosis가 관찰된다. 나아가 CXR상 RUL lobar consolidation이 저명하게 관찰되므로 폐렴으로 진단할 수 있다.

• CURB-65 점수를 계산해보면 BUN ≥ 20mg/dL이므로 1점에 해당하여 외래치료가 권고된다. 지역사회획득 폐렴의 치료는 경험적 항생제를 먼저 사용하며, 비정형 폐렴이 의심되지 않는 경우 respiratory fluoroquinolone, beta-lactam 단독투여가 권고된다.

• 해당 증례의 경우 증상이 급성 병색으로 발생하였고 발열과 함께 호흡기 증상이 두드러지며, 영상 소견상 lobar consolidation이 저명하게 관찰되는 점, 혈액검사에서 백혈구 증가가 관찰된다는 점은 정형 폐렴의 임상 양상과 부합한다. 따라서 비정형 폐렴의 증거를 확인할 수 없는 바 respiratory fluoroquinolone, beta-lactam 단독투여 beta-lactam인 아목시실린-클라불라네이트를 사용한다.

Tip

CURB-65와 폐렴 입원 기준

지역사회 감염 폐렴의 항생제

분류

정형 폐렴(typical pneumonia)

비정형(atypical pneumonia)

원인균

• Streptococcus pneumoniae

• Haemophilus influenzae

• Staphylococcus aureus

• Klebsiella pneumoniae

• Pseudomonas aeruginosa

• Mycoplasma pneumoniae

• Chlamydia pneumoniae

• Legionella pneumophila

• Virus: Influenza, RSV 등

임상양상

호흡기 증상, 발열

폐외 증상(피로, 소화기 증상, 관절통 등) 흔히 동반됨

증상의 양상

급성

만성

기침

가래 동반 (화농성, 혈성 흔함)

마른 기침

영상 소견

Localized consolidation (주로 lobar)

정상 or patchy reticular or reticulonodular opacities

백혈구

증가 (주로 호중구성)

상대적으로 정상

배양 및 염색

Gram 염색과 배양이 잘 됨

일반적인 염색/배양이 잘 안됨

항생제

β-lactam 계열에 반응

β-lactam 계열에 반응하지 않음

(quinolone, macrolide, tetracycline 계열 필요)

오답 선지

• 이미페넴: 녹농균에 대한 항균효과가 있는 카바페넴 계열 항생제로 지역사회획득 폐렴의 경험적 항생제로는 사용되지 않으며, 녹농균 감염이 의심되는 경우 고려될 수 있다.

• 반코마이신: 지역사회획득 폐렴의 경험적 항생제로 사용되지 않으며, MRSA와 같은 항생제 내성균 감염이 의심되는 경우 사용할 수 있다.

• 암포테리신B: 항진균제이며 진균 감염의 증거가 없으므로 배제된다.

• 아지트로마이신: Macrolide 계열 항생제로 비정형 폐렴이 의심되는 경우 beta-lactam과 함께 병용투여한다.

관련 이론

폐렴

Reference

Harrison 21e, pp.1009-1020

ATS guideline, 2019

대한감염학회 가이드라인, 2017