호흡기

/

37

/

37

13번

[RES22]

0

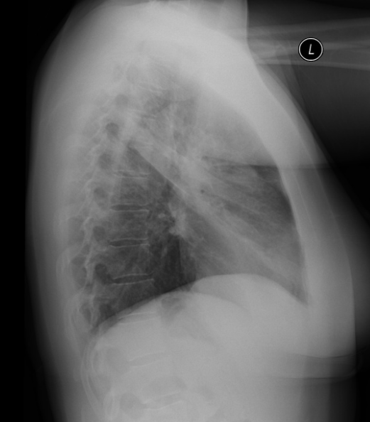
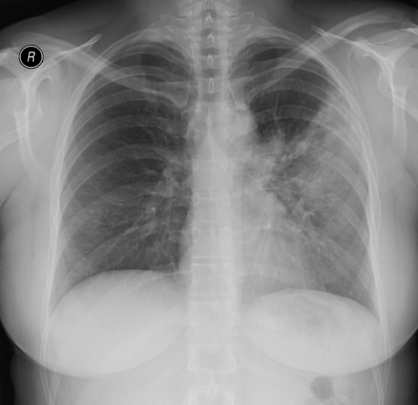
78세 여성이 발열, 호흡곤란, 그리고 가래 증상을 호소하며 내원하였다. 환자의 가슴 X선 사진이다. 이 환자의 폐 병변은 어디에 위치해 있는가?

정답률 67%

누적 풀이 횟수 2,400+

평균 풀이 시간37초

/

나의 풀이 시간0

Imp: 폐렴(pneumonia)

해설

발열과 호흡기증상이 있으며 CXR상 consolidation이 있어 폐렴이 의심된다. 좌측 폐에 병변이 있으며, lateral view에서 LUL임을 알 수 있다. Chest PA상 심장 좌측 경계가 불분명하게 관찰되므로 보기 중에서 병변의 위치를 LUL anterior segment로 짐작할 수 있다.

Tip

<흉부 X선 검사에서 각 폐엽의 개략적 위치>

관련 이론

흉부 X선 검사*

Reference

• Harrison 21e. p.2143

[안내]

본 문제에는 연관 이론으로 이동할 수 있는 링크가 포함되어 있습니다.
클릭하시면 해당 연관 이론 페이지로 이동하여 확인하실 수 있습니다.

* 표시가 있는 이론(우측 상단 별표)은 ALLEN25 이용권 보유 시에만 확인 가능합니다.