호흡기

/

37

/

37

14번

[RES21]

0

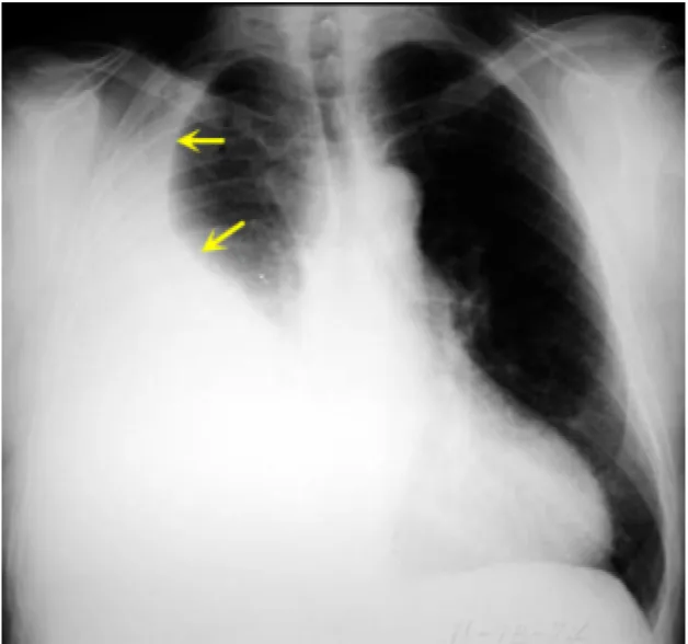
62세 여성이 10일 전부터 호흡곤란을 호소하며 내원하였다. 우측 가슴에 통증을 느끼며 마른 기침을 하고 있다. 혈압 128/82 mmHg, 맥박 82회/분, 호흡 22회/분, 체온 36.5℃로 측정되었다. 가슴 X선 사진을 찍었다. 이 환자의 진단은 무엇인가?

정답률 94%

누적 풀이 횟수 1,800+

평균 풀이 시간22초

/

나의 풀이 시간0

Imp: 흉막 삼출(pleural effusion)

해설

• 가슴 X선 상 우측 폐의 opacity가 증가한 소견을 보이며, 기침할 때 통증을 느끼는 흉막 자극 증상을 보이고 있다.

• 현재 종격동이 음영의 반대측(좌측) 으로 편위된 것을 보아 흉막 삼출임을 알 수 있다.

오답 선지

• 폐색전증(pulmonary thromboembolism, PTE): 주로 CXR상 이상소견이 없는 경우가 많다.

• 폐렴(pneumonia): Lung parenchyme의 consolidation, GGO 등이 확인된다.

• 기흉(pneumothorax): Visceral pleural line이 확인된다.

• 기관지 확장증(bronchiectasis): Tram track sign, ring shadow 등이 확인될 수 있다.

관련 이론

흉막 삼출

Reference

• Harrison 21e, pp.2197-2200