호흡기

/

37

/

37

15번

[RES21]

0

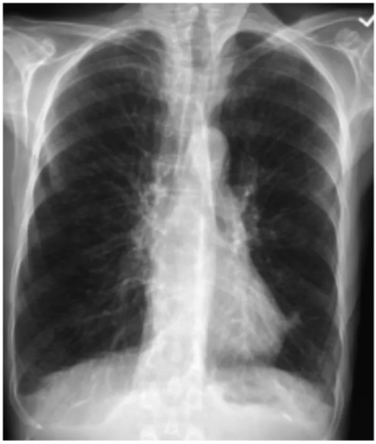
78세 남성이 숨이 차서 왔다. 환자는 3년 전부터 10분 정도 걸으면 숨이 차서 쉬었다 걸었다고 한다. 최근 5일 전부터 기침과 가래가 있었으며, 어제부터는 앉아 있어도 숨이 차다고 한다. 35갑년의 흡연력이 있다. 혈압 150/90mmHg, 맥박 110회/분, 호흡 25회/분, 체온 36.7'C, 산소포화도 92%로 측정되었다. 환자는 의식이 맑았으나, 청진 시 양측 하부 폐에서 호흡음이 감소되어 있었다. 가슴 X선 사진을 통해 확인한 결과는?

정답률 96%

누적 풀이 횟수 1,800+

평균 풀이 시간25초

/

나의 풀이 시간0

Imp: 만성폐쇄성폐질환(chronic obstructive pulmonary disease, COPD)

해설

• 35갑년의 흡연력이 있는 고령자가 진행성 만성 호흡곤란을 호소하며 청진 상 호흡음 감소 소견을 보인다.

• 가슴 X선 사진 상 흉곽의 직경이 커지고 횡격막이 눌려 평평해진 과다팽창(hyperinflation) 소견을 보여 COPD를 의심할 수 있다.

• 확진은 폐기능 검사 상 기관지확장제 투여 후에도 FEV1/FVC < 0.7 를 보일 경우 진단한다.

관련 이론

만성폐쇄성폐질환

Reference

• Harrison 21e, pp.2180-2189

GOLD guideline, 2024

대한결핵 및 호흡기학회 가이드라인, 2018