호흡기

/

37

/

37

16번

[RES21]

0

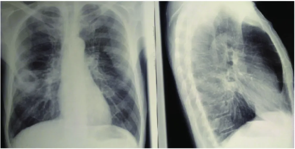
63세 남성이 10일 전부터 발생한 발열, 기침, 누런 가래 증상으로 내원하였다. 환자는 가래에서 나는 악취를 호소하였으며, 25갑년의 흡연력을 가지고 있고, 최근 4년 동안 매일 소주 1병 반씩을 마시며 술에 취해 의식을 잃은 적이 여러 번 있다고 한다. 환자의 구강 위생 상태는 좋지 않으며, 심한 치주염을 앓고 있다. 환자의 가슴 X선 사진을 참고하여 적절한 치료 방법을 결정하시오.

정답률 85%

누적 풀이 횟수 1,900+

평균 풀이 시간21초

/

나의 풀이 시간0

Imp: 폐농양(lung abscess)

해설

• 알콜 중독자가 나쁜 구강 위생 상태를 보이며 고열, 기침, 누런 가래를 보이고 있다. 만취 후 의식을 잃었다는 것은 흡인 폐렴의 가능성을 시사한다. 가슴 X선 상에서 RML에 air-fluid level, thick walled cavity가 보이므로 폐농양을 진단할 수 있다.

•치료는 혐기성, 호기성 균을 동시에 cover할 수 있는 클린다마이신 또는 beta-lactam/beta-lactamase를 사용한다. 항생제 치료에 반응하지 않을 경우 배농을 시도한다.

오답 선지

• Ceftriaxone, levofloxacin: 혐기균에 대한 coverage가 떨어져 폐농양에 사용하는 단독 항생제로는 부적절하다.

관련 이론

폐농양

Reference

•Harrison 21e, pp.1020-1022