호흡기

/

37

/

37

17번

[RES20]

0

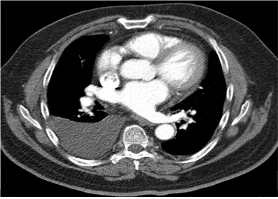
78세 여성이 3일 전부터 숨을 들이쉴 때 생기는 오른쪽 가슴 통증으로 내원하였다. 2주 전부터 기침과 가래가 있었으며, 최근에는 발열과 오한이 동반되었다. 혈압 130/80 mmHg, 맥박 88회/분, 호흡수 24회/분, 체온 38.4℃로 측정되었다. 가슴 청진 시 오른쪽 호흡음이 누그러졌다. 혈액검사와 가슴막삼출액검사 결과, 그리고 흉부 CT를 참고하여 세프트리악손과 클린다마이신 치료를 시작하였다. 다음 중 적절한 처치는 무엇인가?

[혈액검사]

WBC 17,500/mm3, Hb 13.0 g/dL, platelet 420,000/mm3

total protein 6.4 g/dL, LDH 400 U/L(참고치, 120~230)

[가슴막삼출액검사]

WBC 12,500/mm3 (neutrophil 85%, lymphocyte 13%)

pH 6.7, protein 4.5 g/dL, glucose 25 mg/dL, LDH 1,100 U/L

정답률 97%

누적 풀이 횟수 1,600+

평균 풀이 시간36초

/

나의 풀이 시간0

CC

chest pain (Rt. pleuritic)

Hx

S/Sx

cough, sputum, fever with chills. Rt. lung sound decreased

Lab

blood: WBC↑, LDH↑/ pleural fluid: WBC dominant, pH↓, LDH↑, Glc↓

Img

Rt. pleural effusion

Etc

Imp: 부폐렴성 흉막 삼출(parapneumonic pleural effusion)

해설

Parapneumonic effusion이 관찰되며 pleural fluid 검사 결과 pH 감소 등이 흉관 삽입의 적응증에 해당한다.

• 발열과 오한을 동반한 호흡기 증상, 오른쪽 호흡음 감소, CT 상 관찰되는 우측 흉수 등으로 흉막 삼출을 의심할 수 있으며, 부폐렴성이 의심된다.

• 환자의 pleural lab을 Light's criteria에 대입하면 pleural fluid protein/serum protein = 4.5/6.5 > 0.5, pleural fluid LDH/serum LDH=1100/400 > 0.6으로 exudate에 해당하며, parapneumonic effusion일 것이다.

• Pleural fluid pH < 7.2, glc < 60 mg/dL로 흉관 삽관의 적응증에 해당한다.

Tip

흉수 검사 결과에 따른 감별진단

부폐렴성 흉막삼출의 예후에 대한 위험인자

오답 선지

• 가슴막유착술(pleurodesis), 겉질 제거(decortication): 흉관 삽입 후 호전이 없을 때 고려할 수 있다.

• 항결핵제 추가: Pleural fluid가 WBC dominant하고 뚜렷한 발열, 오한이 있어 결핵보다는 폐렴에 대한 치료가 필요하다.

• 아미노글리코사이드 추가: P. aeruginosa가 원인인 폐렴에서 고려할 수 있겠으나 배양 결과가 없고 경험적 항생제 치료에 대한 반응이 평가되지 않은 상태에서 고려하지 않는다.

관련 이론

흉막 삼출

Reference

• Harrison 21e, pp.2197-2200