호흡기

/

37

/

37

36번

[RES16]

0

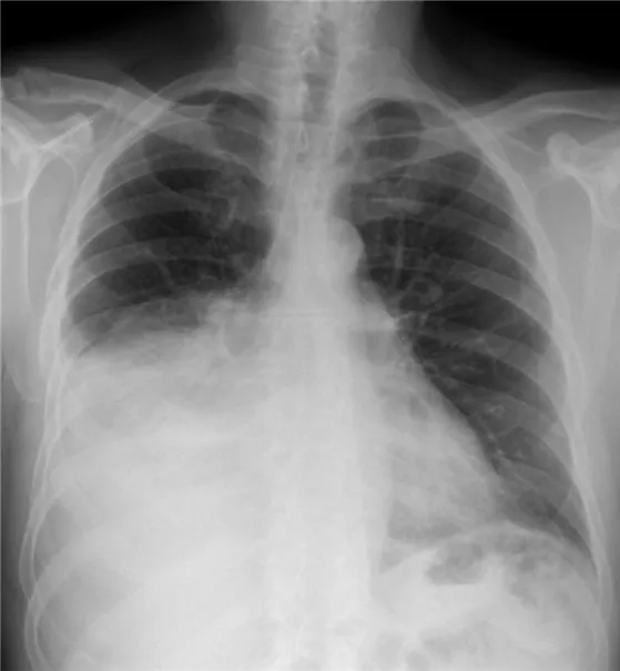
52세 여성이 4일 전부터 시작된 우측 가슴 통증과 발열, 기침 증상으로 내원했다. 환자는 3주 전부터 우측 옆구리에 통증을 느꼈다고 한다. 가슴 X선 검사 결과를 바탕으로 진단하였다. 흉수 검사 결과는 아래와 같다. 이 환자의 치료 방법은 무엇인가?

혈액장액성(Serosanguineous) pH 7.0, 백혈구 8200/mm3(다형핵중성구 80%), 포도당 30mg/dL 단백질 6.0g/dL, 알부민 3.0g/dL, 젖산탈수효소 700U/L

정답률 97%

누적 풀이 횟수 900+

평균 풀이 시간30초

/

나의 풀이 시간0

Imp: 부폐렴성 흉수(parapneumonic effusion)

해설

• 고열, 기침, 가슴 통증이 있는 환자의 가슴 X선에서 우측 폐의 pleural effusion이 확인된다.

Light's criteria에 따라 흉수 LDH > 200 (혈청 정상 상한치의 2/3) 으로 흉수가 exudate임을 알 수 있다.

• 또한 WBC 상승, PMN 분율 증가, 고열이 있으므로 부폐렴성 흉수임을 알 수 있다.

• 부폐렴성 흉수의 치료는 폐렴의 치료를 위해 경험적 항생제를 투여하며, complication 여부에 따라 흉관 삽입을 시행한다.

흉관 삽입의 적응증에 해당하므로 흉관 삽입을 시행한다.

오답 선지

•흉막유착술(pleurodesis): 반복적 기흉이나 지속적 흉수가 발생할 때 흉관 삽입으로 흉수나 공기를 제거한 후에도 1일 이상 지속되는 흉수 및 공기 누출이 있을 때 고려할 수 있다.

•반복적 천자(recurrent thoracentesis): 반복적 천자의 이득이 없으며 흉관 삽관이 권고된다.

•항결핵제: 결핵성 흉수의 치료이다.

•흉막박피술(decortication): 농흉이 있으며 흉관 삽입에도 흉수의 호전이 없으면 고려한다.

관련 이론

흉막 삼출

Reference

•Harrison 21e, p.2197-2200