소화기

/

60

/

60

21번

[RES22]

0

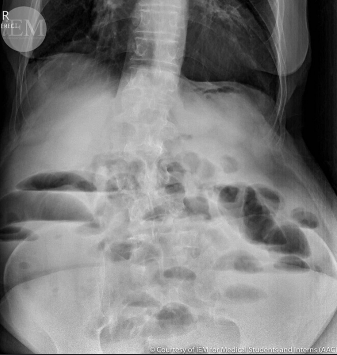
42세 여성이 복통과 지속적인 구토를 호소하며 병원에 내원했다. 환자는 3년 전 급성 충수염으로 인해 충수절제술을 받은 병력이 있다. 복부 평면 X선 촬영 결과이다. 초기 치료 방법은 무엇인가?

정답률 86%

누적 풀이 횟수 1,400+

평균 풀이 시간23초

/

나의 풀이 시간0

Imp: 급성 장폐색(intestinal obstruction)

해설

• 복부 수술력이 있는 환자가 복통/구토를 주소로 내원, AXR상 multiple air-fluid level이 관찰되므로 기계적 장폐색이 의심된다.

• 응급수술의 적응증에 해당하는 중증 감염 소견이나 복막자극징후는 주어지지 않았으므로, L-tube insertion을 통한 decompresesion 및 수액요법 등 보존적 치료가 기본이다.

관련 이론

급성 장폐색

Reference

• Harrison 21e, pp.2508-2512