외과 총론

/

113

/

113

100번

[RES16]

0

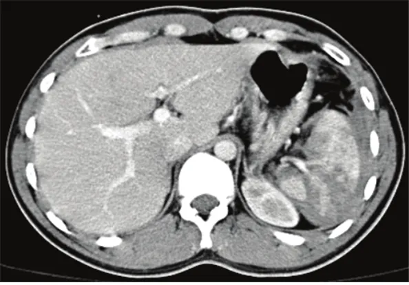
31세 여성이 자전거를 타다가 넘어져 응급실로 이송되었다. 의식은 맑았으며, 내원 당시 혈압은 110/70 mmHg, 맥박은 88회/분, 호흡수는 22회/분, 체온은 36.5℃이었다. 지속적으로 복부 통증을 호소하여 복부 컴퓨터단층촬영을 시행한 결과이다. 45분 후 재측정한 생체 징후는 혈압 78/50 mmHg, 맥박 122회/분으로 확인되었다. 적절한 치료방법은 무엇인가?

정답률 95%

누적 풀이 횟수 1,300+

평균 풀이 시간27초

/

나의 풀이 시간0

Imp: 비장 손상(splenic injury), 출혈성 쇼크 (hemorrhagic shock)

해설

비장의 일부에서 저음영 소견을 보이며 V/S unstable하여 응급 수술이 필요하다.

• 자전거 사고 후 발생한 복통으로 복부 둔상이 의심된다.

• 내원 당시 V/S stable하며 복막 자극 징후는 없어 APCT를 촬영하였으며 비장 저음영 소견이 관찰된다.

• 검사 후 비장 손상이 확인되며 혈압 감소, 맥박, 호흡수 증가의 저혈량성 쇼크 로 진행하는 양상이므로, 응급으로 비장 절제술을 시행해야 한다.

Tip

복부 외상 처치 요약

오답 선지

• 복막 천자: Hemoperitoneum을 진단하기 위해 사용할 수 있으나, 현재 이미 CT로 hemoperitoneum이 진단되었으므로 무의미하다.

• 적혈구 수혈 및 경과 관찰: 현재 V/S unstable 하므로 응급수술의 적응증이다.

• 혈관색전술: V/S unstable한 골반 외상의 치료법이다.

• 흉관 삽입: 외상성 기흉의 치료법이다.

관련 이론

복부 외상

Reference

• Sabiston 21e, pp. 411-424