외과 총론

/

113

/

113

103번

[RES16]

0

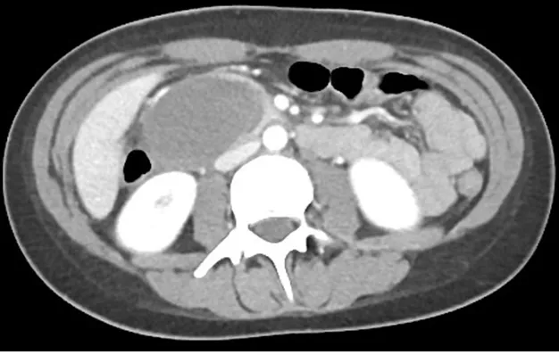
건강한 28세 여성이 자전거 사고 후 우측 상복부 통증을 호소하며 병원에 도착했다. 우측 상복부에 멍이 들어 있었고, 혈액 검사 결과는 정상 범위였다. 사고 후 사흘째, 환자는 담즙성 구토를 시작하여 상부 위장관 조영술과 복부 CT를 실시하였다. 적절한 치료방법은 무엇인가?

정답률 71%

누적 풀이 횟수 1,600+

평균 풀이 시간47초

/

나의 풀이 시간0

Imp: 십이지장 혈종 (duodenal hematoma)

해설

십이지장 혈종으로 인한 기계적 폐색으로, 보존적 치료를 시행한다.

• 담즙성 구토를 호소하는 환자에서 위장관조영술의 filling defect가 관찰되어 폐색이 구토의 원인으로 보인다.

• 복부 컴퓨터 단층촬영 상 관찰되는 십이지장 부위의 intermediate density mass가 현재 폐색의 원인이다.

• 기저질환 없는 젊은 환자의 외상력과 우상복부 멍이 있는 점을 고려했을 때 외상으로 인한 십이지장 혈종이 발생하며 기계적 장폐색 (mechanical ileus)이 발생했다고 진단할 수 있다.

• 천공 소견은 보이지 않고 v/s stable 하므로 금식, 감압으로 장폐색에 대한 보존적 치료를 시행한다.

• 금식을 위하여 총정맥영양을 시행하며 2~3주간 관찰하도록 한다.

Tip

• 외상성 십이지장 손상은 자전거, 운전대 핸들에 부딪히며 발생하는 경우가 잦다.

• 해부학적 구조상 췌장 손상의 동반 확률이 높아 혈청 amylase 확인이 도움이 된다.

오답 선지

• 위 절제술: 위암의 수술적 치료법이다.

• 췌장미부절제술, Whipple 수술: 췌두부 암에 대한 수술적 치료법이다.

• 위 절개술: 위의 양성 질환에 대한 수술법 치료법이다.

관련 이론

복부 외상

Reference

• Sabiston 21e, pp.1250-1258, 2078-2081