외과 총론

/

113

/

113

28번

[RES22]

0

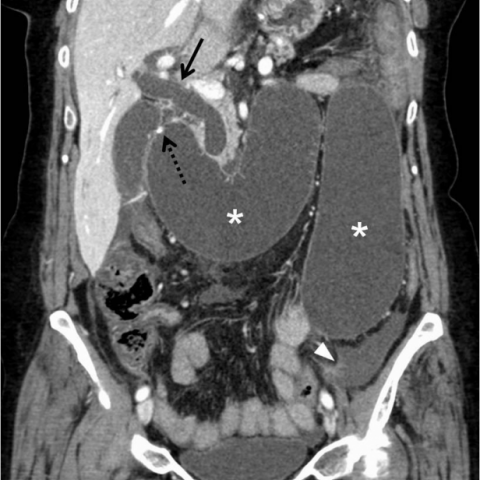
52세 남성이 10일 전에 위암으로 위 하부 절제 수술을 받았다. 수술 후 복통과 간헐적인 담즙성 구토를 호소한다. 통증은 지속적이며, 구토 후에 일시적으로 완화된다. 복부 CT 사진이다. 진단은?

정답률 86%

누적 풀이 횟수 1,200+

평균 풀이 시간22초

/

나의 풀이 시간0

Imp: 수입각증후군(들창자증후군, afferent loop syndrome)

해설

위절제술 후 담즙성 구토와 복통을 보이는 환자이다. CT상 담도확장(→) 및 담즙/췌액 저류로 인해 distention된 afferent loop(*) 이 관찰되므로 afferent loop syndrome 으로 진단할 수 있다.

• Afferent loop syndrome은 주로 Billroth II 수술 환자에서 bile/pancreas 분비액이 afferent loop에 쌓여있다가 위내로 갑자기 유입되며 복통과 담즙성 구토가 발생하는 질환이다.

• 치료는 Billroth I 문합 또는 Roux-en-Y anastomosis로 전환하는 수술적 교정이다.

관련 이론

위절제술 후 증상

Reference

• Sabiston 21e, pp.1217-1219