외과 총론

/

113

/

113

29번

[RES22]

0

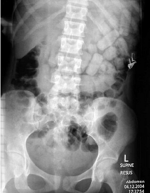
해외 여행을 마치고 돌아온 28세 남성이 마약 밀수 혐의로 공항에서 체포되어 병원으로 이송되었다. 복부 X선 촬영 결과가 첨부되어 있다. 이 환자에게 적절한 치료 방법은 무엇인가?

정답률 88%

누적 풀이 횟수 1,200+

평균 풀이 시간19초

/

나의 풀이 시간0

Imp: 위장관 이물

해설

• X-ray상 약봉지로 추정되는 음영이 복부에 다수 관찰되므로 마약 밀반입을 위해 약봉지를 삼켰을 것으로 추정된다.

• 약물이 위장관 내로 유출될 경우 매우 심각한 drug intoxication 증상이 나타날 수 있으므로 whole bowel irrigation을 통해 이를 배출하도록 해야 한다.

Reference

• American Academy of Clinical Toxicology & European Association of Poison Centres and Clinical Toxicologists (2004) Position Paper: Whole Bowel Irrigation , Journal of Toxicology: Clinical Toxicology, 42:6, 843-854, DOI: 10.1081/CLT-200035932