외과 총론

/

113

/

113

69번

[RES19]

0

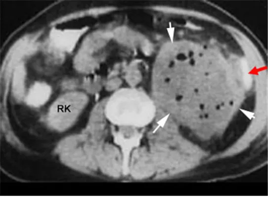
62세 여성이 좌측 결장절제술을 받은 후 복부 좌측 하부에 국한된 압통과 반발압통을 동반한 종괴가 만져졌다. 혈압은 115/75 mmHg, 체온은 38.1°C, 맥박은 102회/분, 호흡은 18회/분으로 측정되었다. 복부 CT 스캔 결과가 첨부되어 있다. 이 환자의 적절한 치료 방법은 무엇인가?

정답률 63%

누적 풀이 횟수 1,800+

평균 풀이 시간32초

/

나의 풀이 시간0

Imp: Intra-abdominal abscess and peritonitis

해설

복부수술 후에 발생한 발열, 압통과 반발압통을 동반한 종괴는 복강내농양을 시사한다. CT에서도 low density mass가 air bubble과 함께 보이는 부분은 농양의 fluid collection으로 볼 수 있다. 치료는 경피적 배농과 항생제 투여이다.

• 경피적 배농이 source control의 first choice이다. 수술적 배농은 경피적배농술이 실패했을 때를 대비하여 reserve하라고 Sabiston에서 언급하고 있다.

• 환자의 경우 좌측 결장절제술을 받은 후, 문합 부위에서 leakage가 있어 abscess가 생겼다고 볼 수 있다.

Tip

• 농양의 치료는 항생제, 경피적 배농술, 수술 등 다양하지만 어떤 치료가 first인지는 발생 위치마다 큰 차이가 있다.

오답 선지

• 경과 관찰 : 복강내농양은 응급상황에 간주하여 치료해야 한다.

• 회장루조성술 : 회장조루술은 염증이 있거나 천공된 부위에서 대변을 밖으로 빼주어, 장의 심한 염증이나 장의 휴식이 필요한 천공이 있거나 장의 일부가 절제된 경우 장의 회복을 기대할 수 있는 수술법이다. 일반적으로 농양에서 바로 시행하는 수술법은 아니다.

• 하트만 수술 : Hartmann의 수술에는 S상 결장의 병변을 제거하고(종종 diverticulitis perforation이나 colon cancer으로 인해) rectal stump를 닫고 임시적으로 colostomy를 만드는 수술이다. 심한 염증 등으로 primary repair가 불가능한 경우 임시적으로 시행할 수 있는 life-saving operation이다.

- 천공 게실염: 특히 광범위한 복막염이 있는 경우 또는 일차 문합을 하기에는 조직에 염증이 너무 많거나 파괴되기 쉬운 경우
- 좌측 대장암의 폐색: 환자의 상태나 수술 현장 환경으로 인해 일차 문합이 안전하지 않은 경우
- 기타 결장 천공: 일차 복구가 불가능한 허혈성 대장염이나 외상성 부상으로 인해 발생하는 천공 등
- 심각한 감염 또는 농양: 적절하게 배액하거나 통제할 수 없어 영향을 받은 결장 부분을 제거해야 하는 경우

• 시험적 개복술 : 복부 전체적인 반발압통 등 범복막염의 소견이나 vital이 불안정한 소견을 보일 때 수술적인 치료가 필요할 수 있다. 농양의 배액을 위해서는 경피적 배농술이 우선적으로 시행되며, 수술적인 치료를 하더라도 복강경으로 할 수 있다면 복강경이 선호된다.

관련 이론

• 복강내 농양의 치료

1) 조기 수액 투여

2) 치료 방법

- 조기 정맥 항생제 + 조기 배농술

: SSC guideline에 따르면 항생제는 8시간 내 투여해야 하며, septic shock이 있으면 1시간 내 투여해야 함

* source control

- 비수술적 치료 : percutaneous drainage가 first option

(특히 - single, unilocular, accessible via percutaneous approach인 경우 시행)

: 혈역학적으로 안정하다면 최대한 빠르게 시행하는 것이 원칙. (단, IV 항생제 사용 후 모니터링하며 24시간 지연 가능)

: 5cm 미만의 작은 농양의 경우 경피적 바늘 흡인술 +항생제로 치료될 수 있음

- 수술적 치료 : 경피적 배농술에 실패했거나 시행하기 어려울 때, multiloculated complex abscess, massive한 복강내 free air, 복부 전반적인 복막염을 동반한 농양인 경우 시행

: 복강경 선호. 후복막 농양의 경우 접근이 어려워 open drainage가 필요할 수 있음

Reference

• Sabiston 21e, pp.229~230